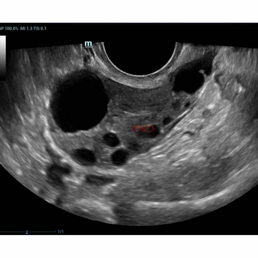
Неовулированный фолликул