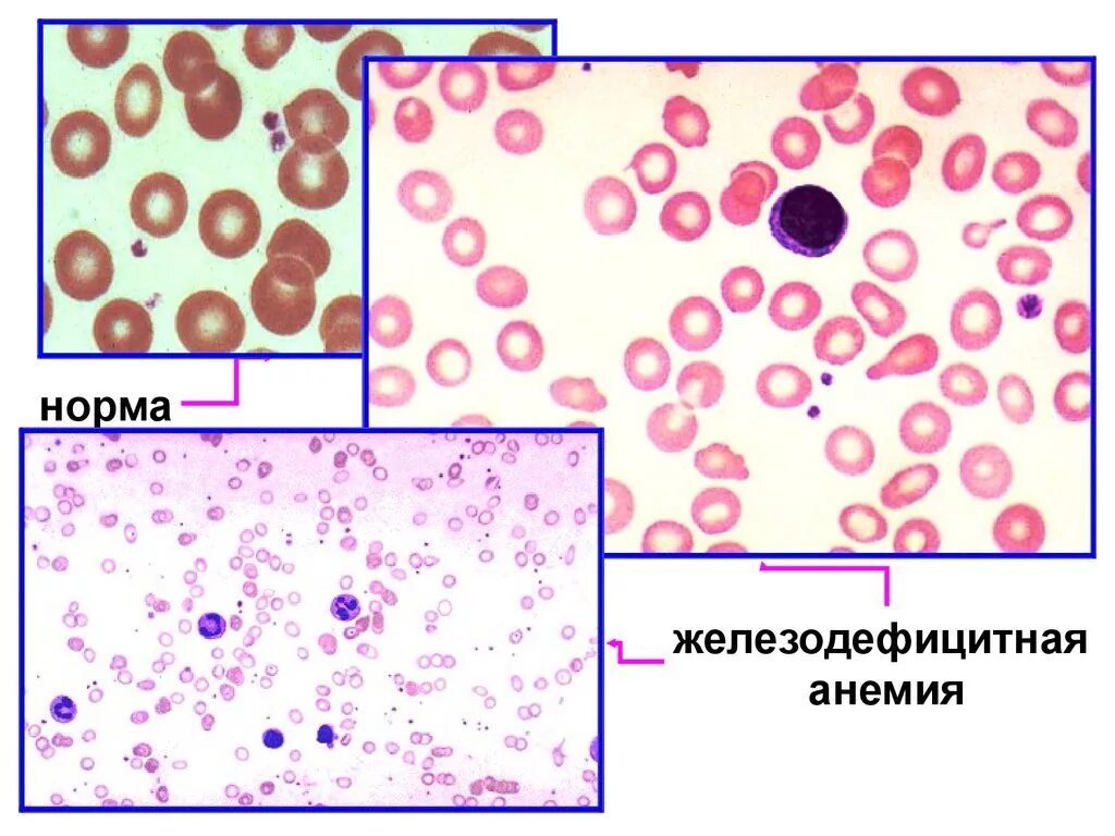
Недостаточно эритроцитов