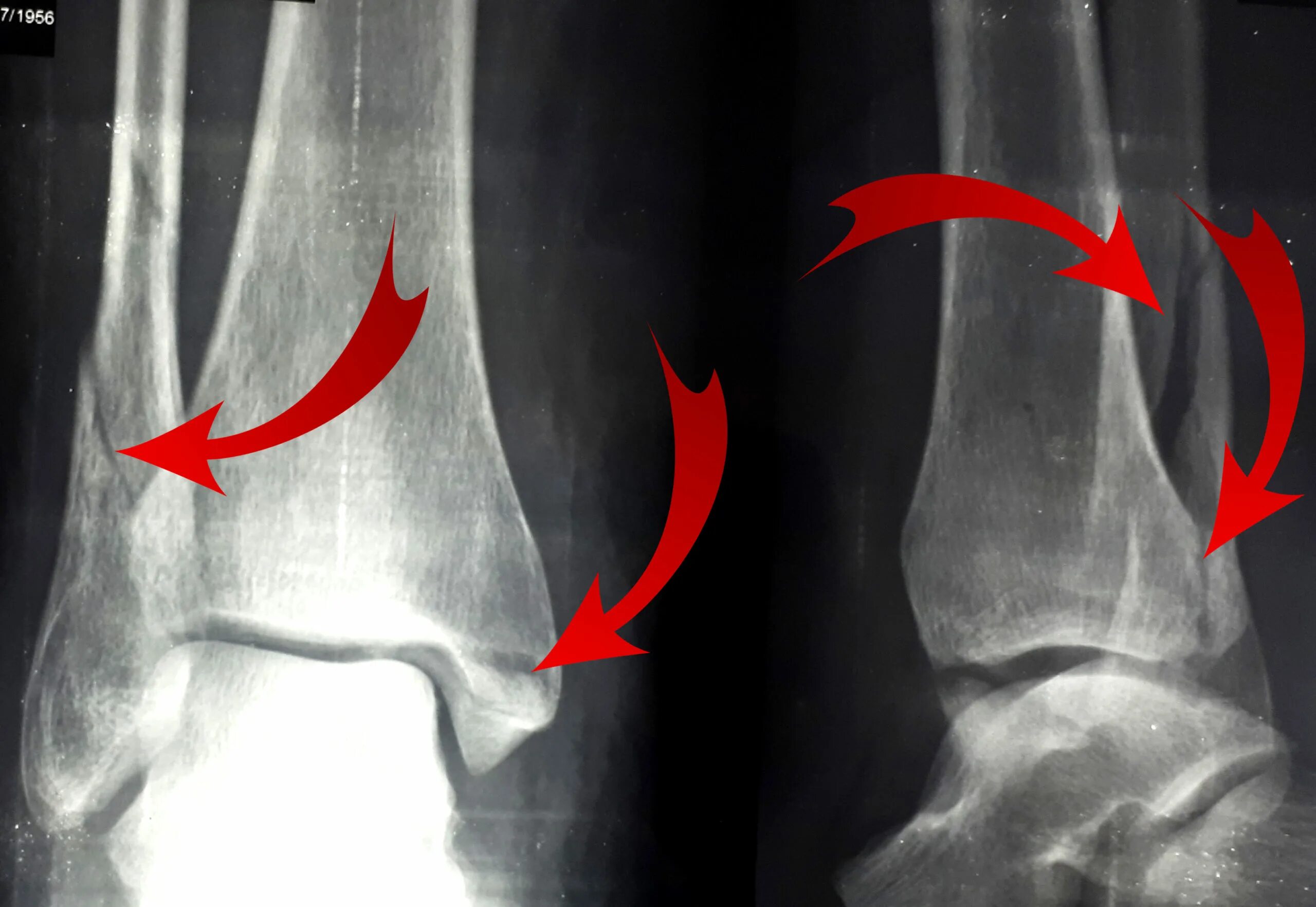
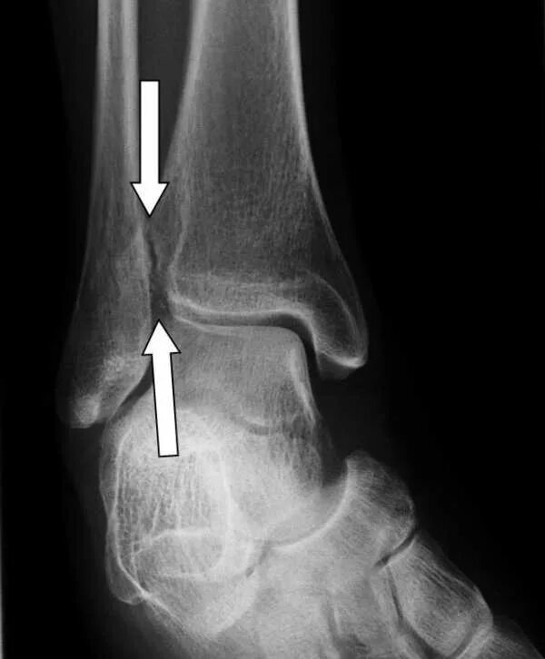
Наружная лодыжка голени