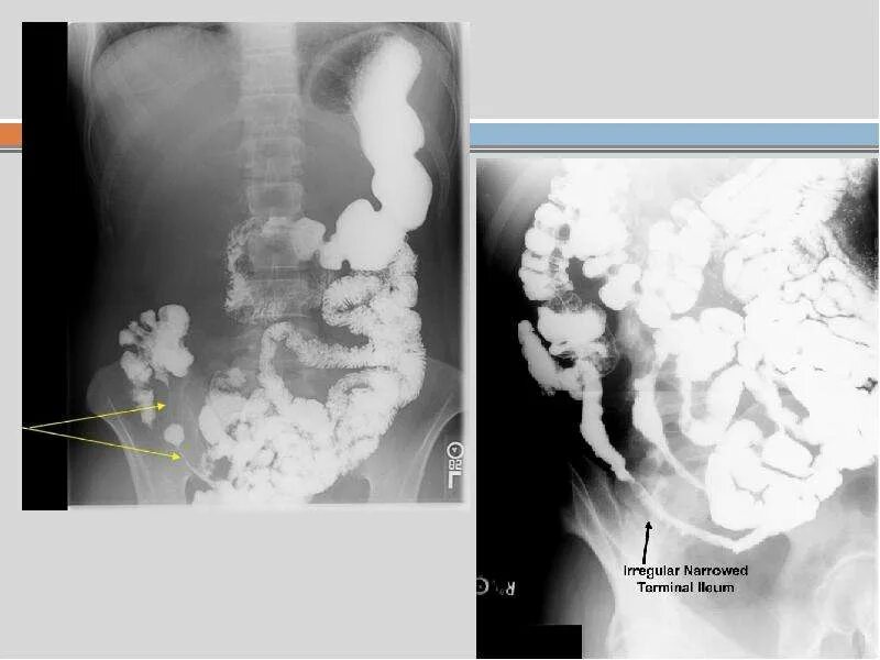
Нарушение кишечника