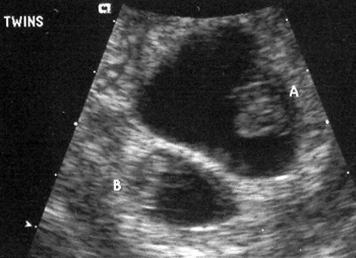
На каком сроке можно увидеть двойню