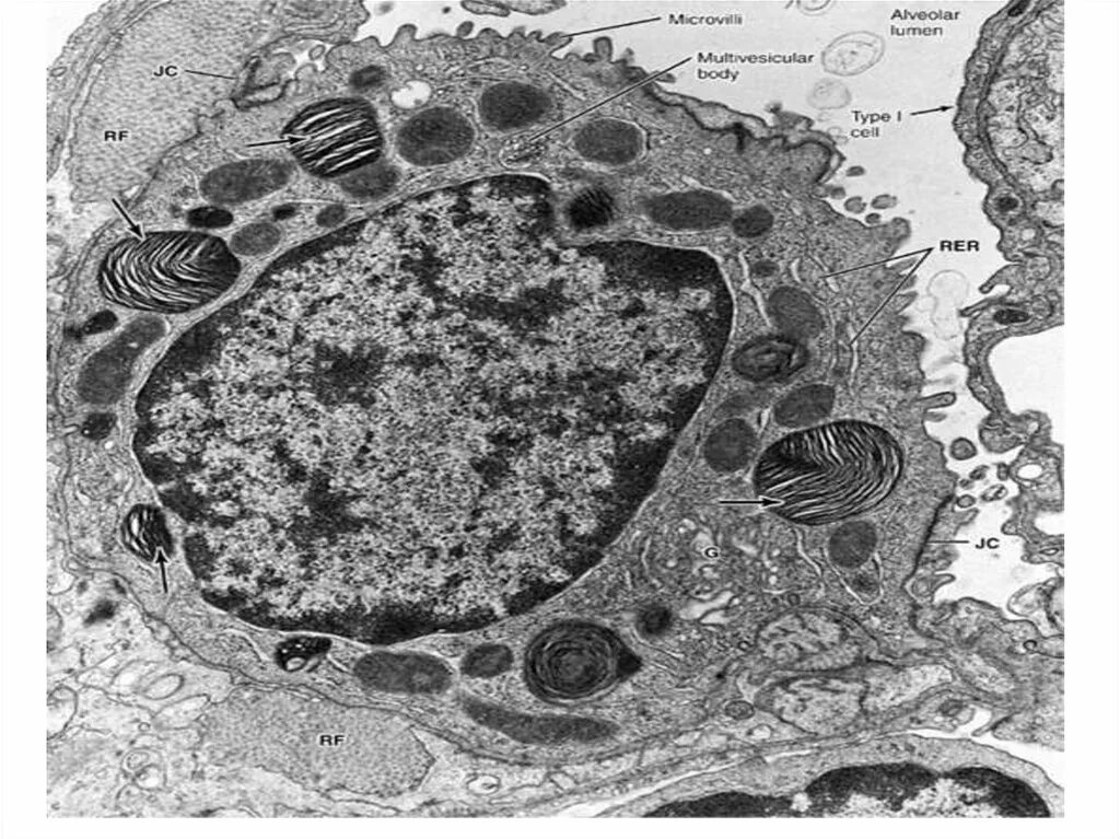
На электронной микрофотографии изображена структура