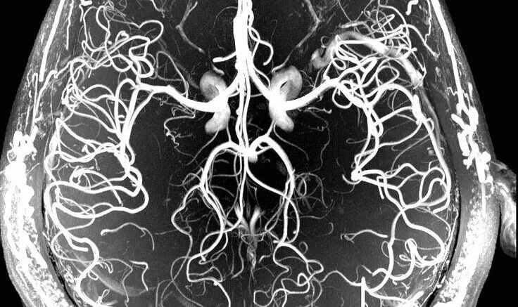
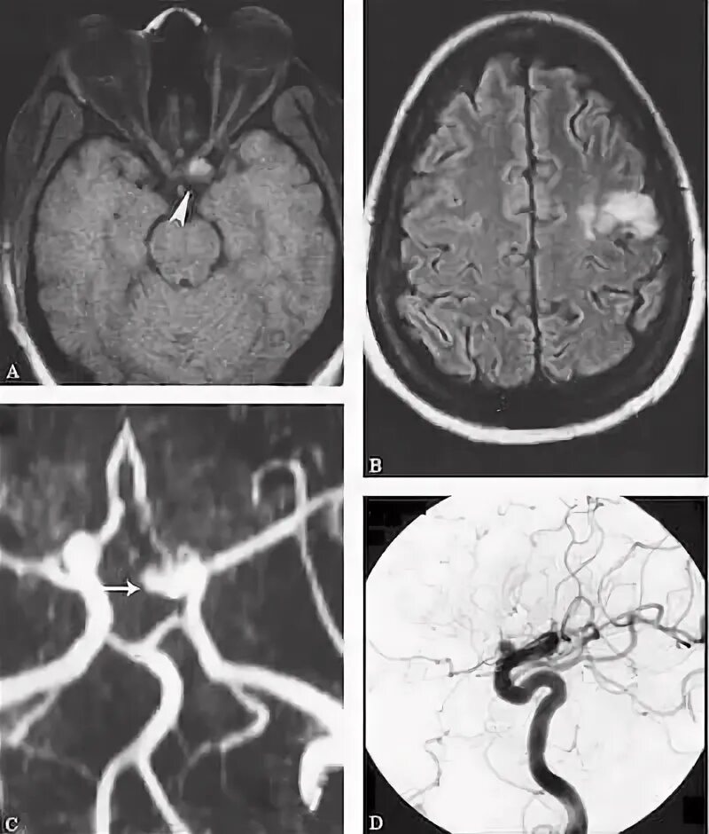
Мрт сосудов головного мозга в туле