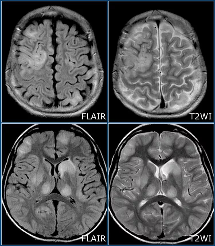
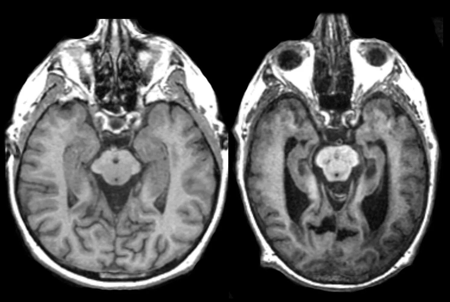
Мрт при каких заболеваниях