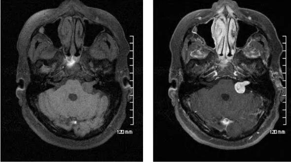
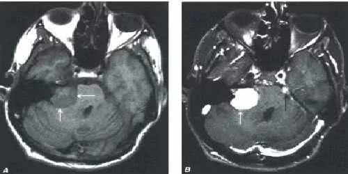
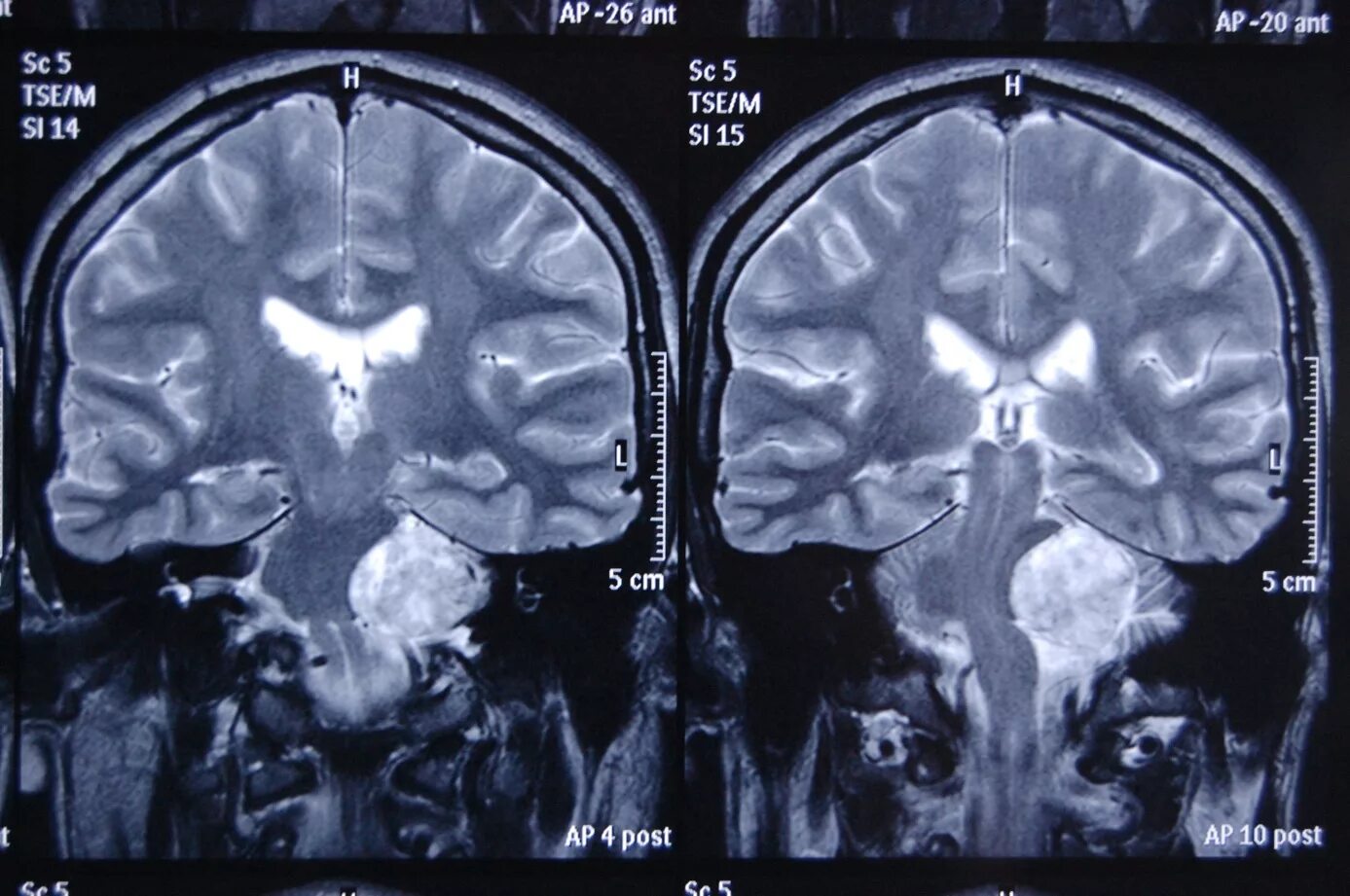
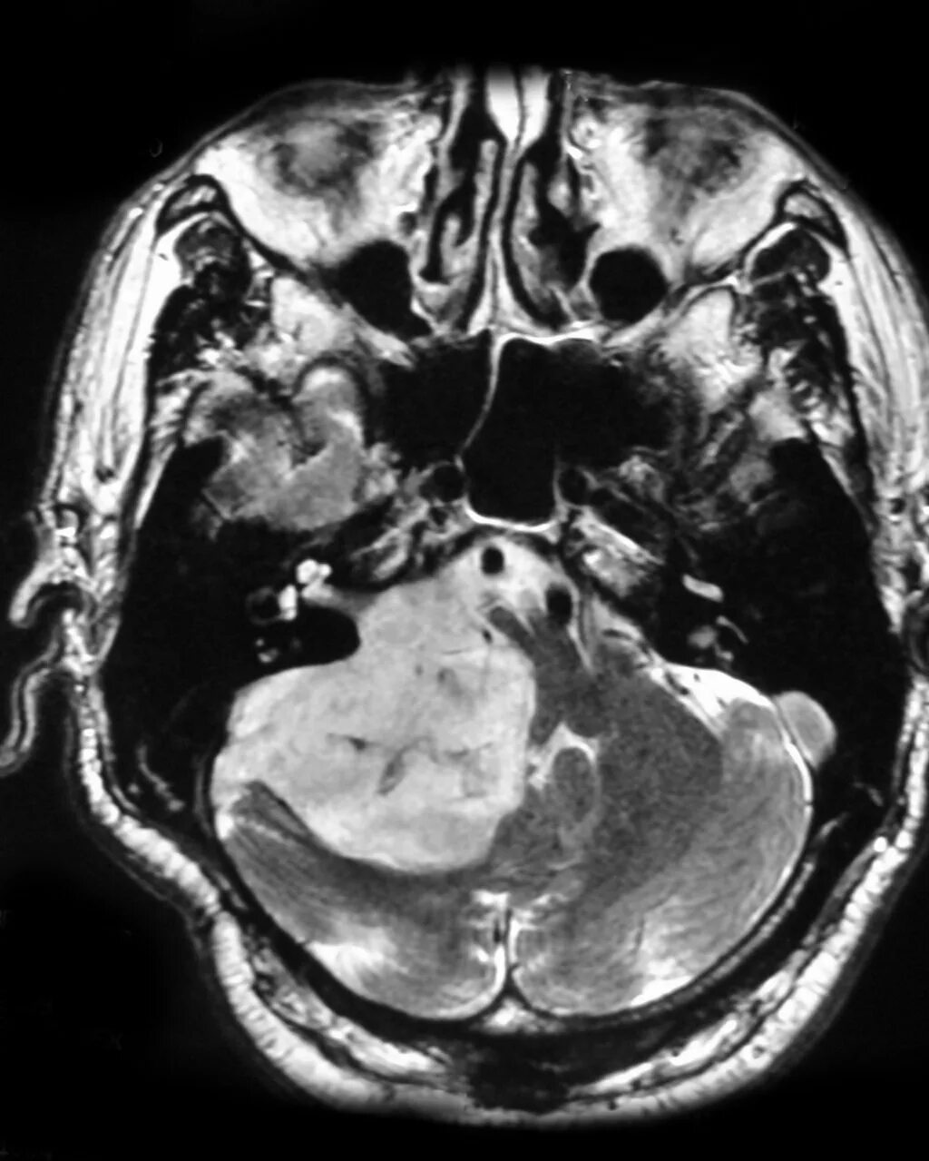
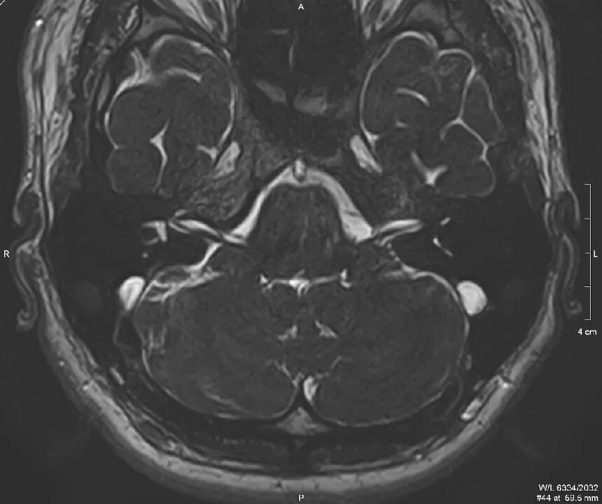
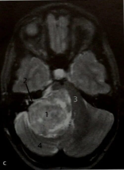
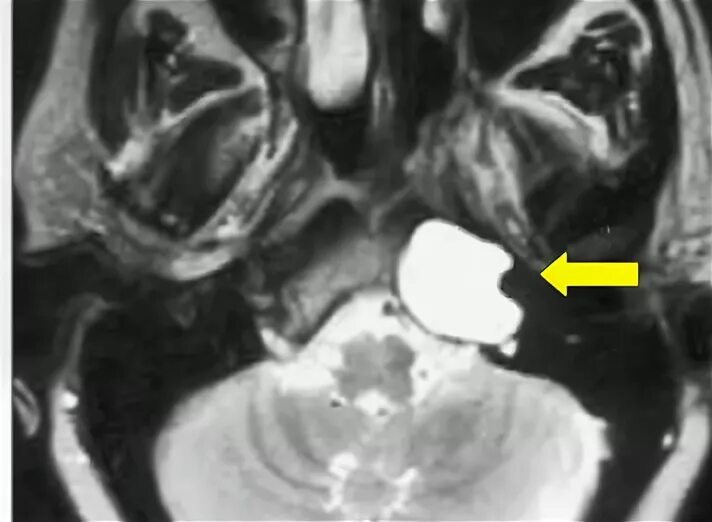
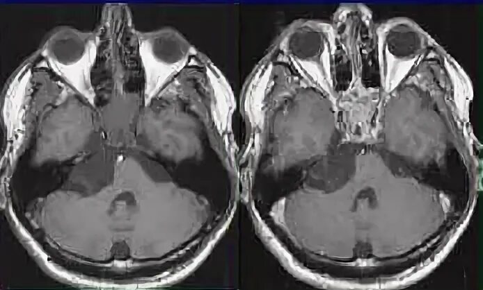
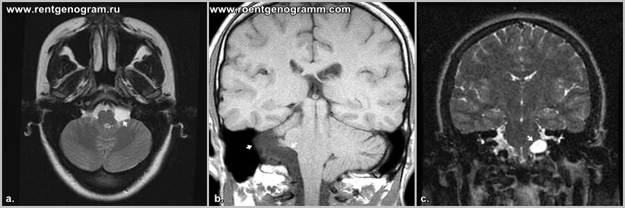
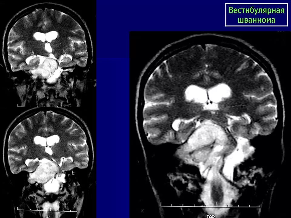
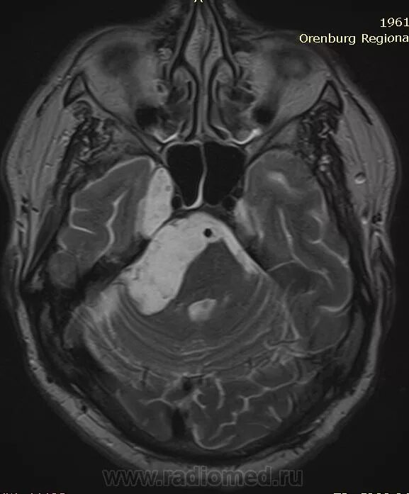
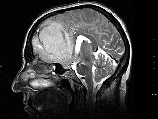
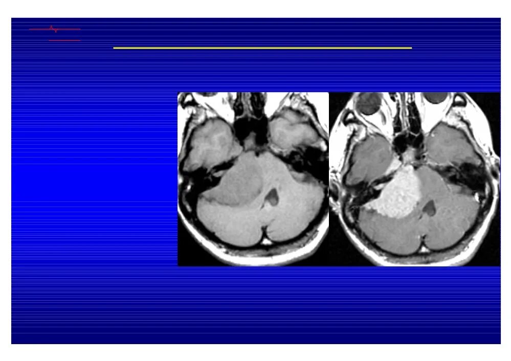
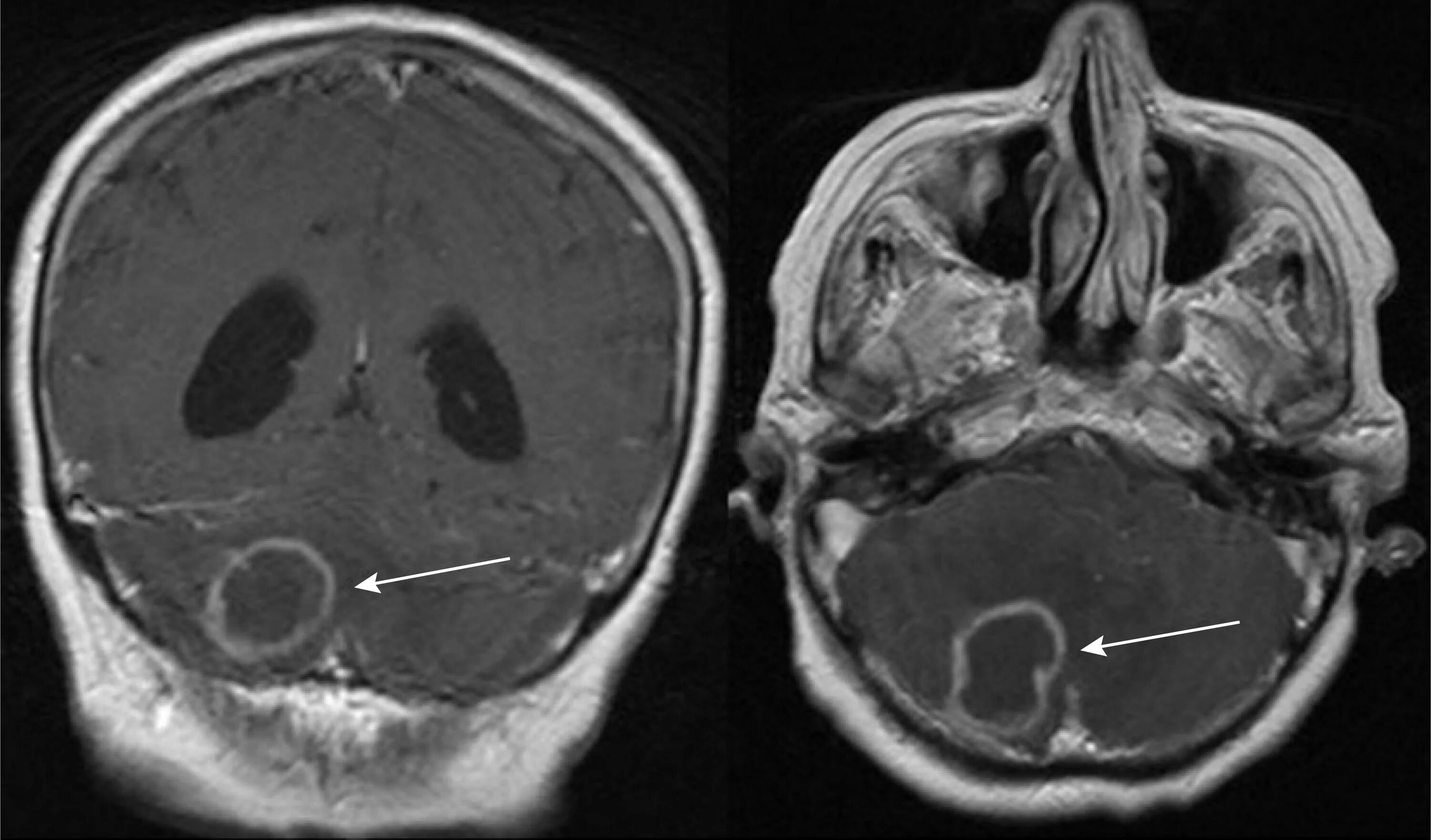
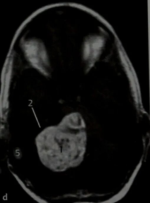
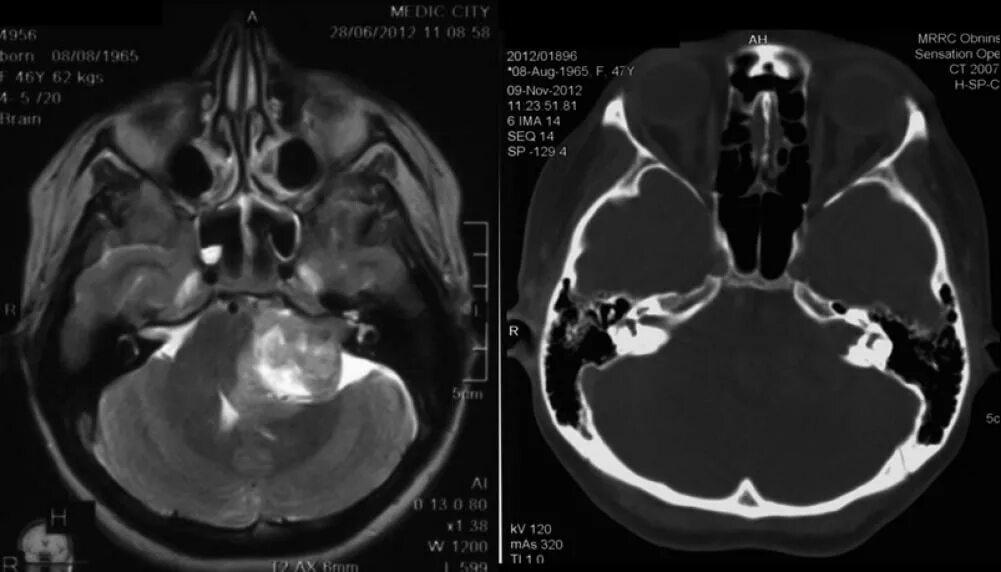
Мрт головного мозга мосто мозжечкового угла