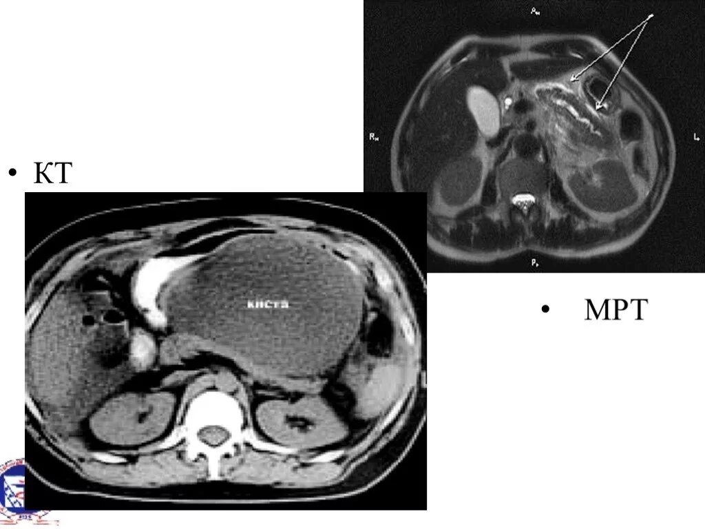
Можно заменить кт на мрт