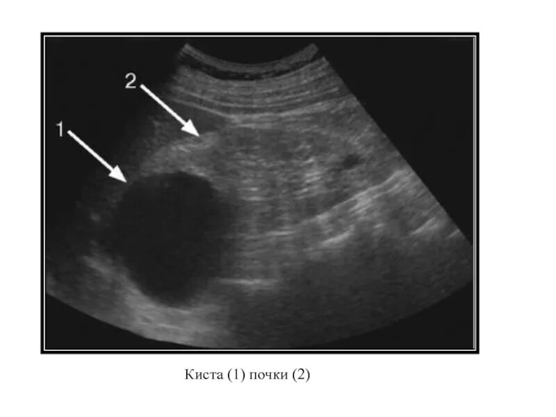
Можно ли вылечить кисту почки