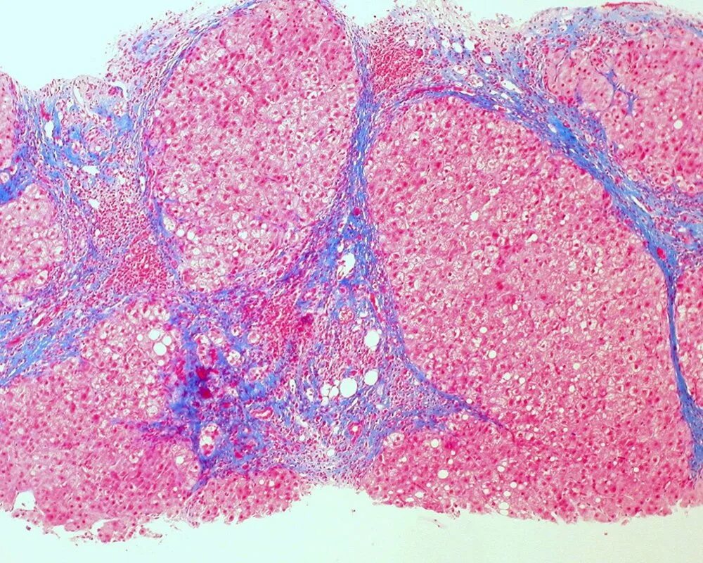
Можно ли вылечить фиброз