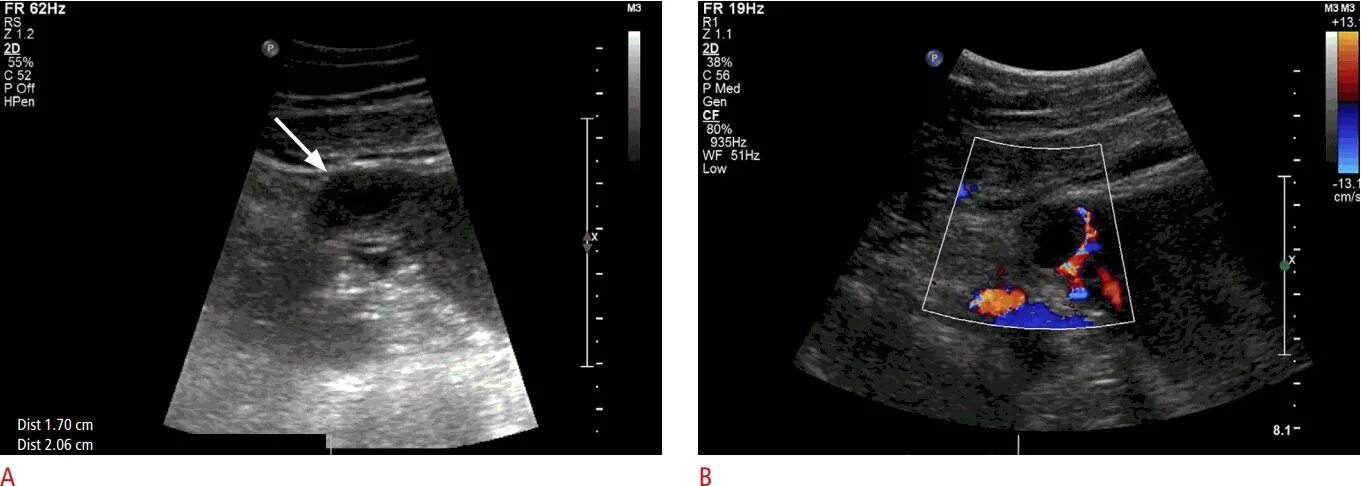
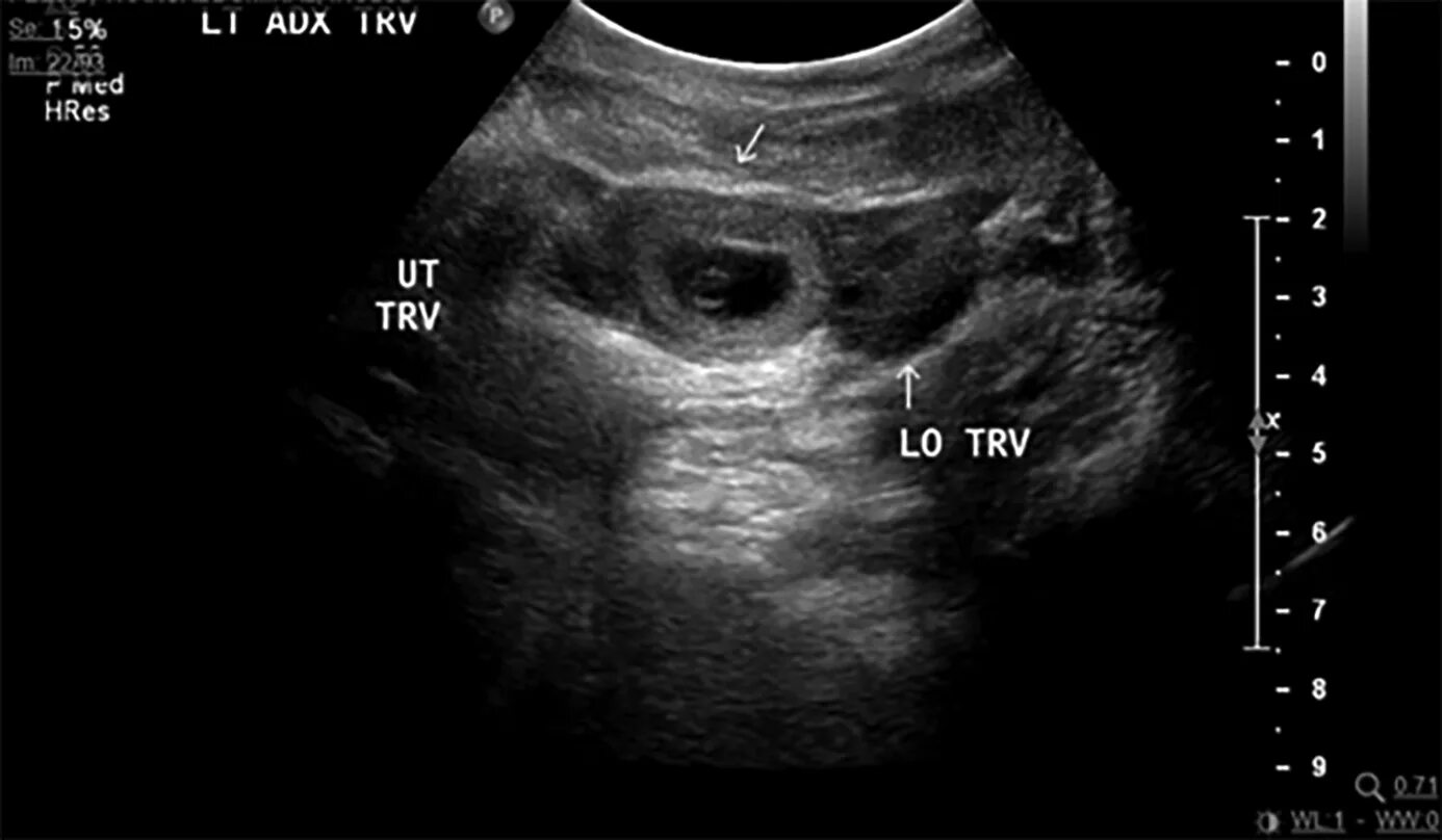
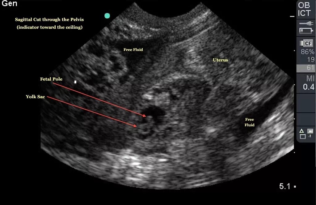
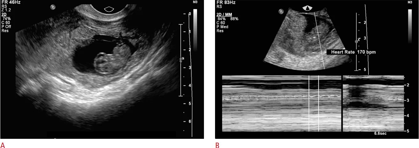
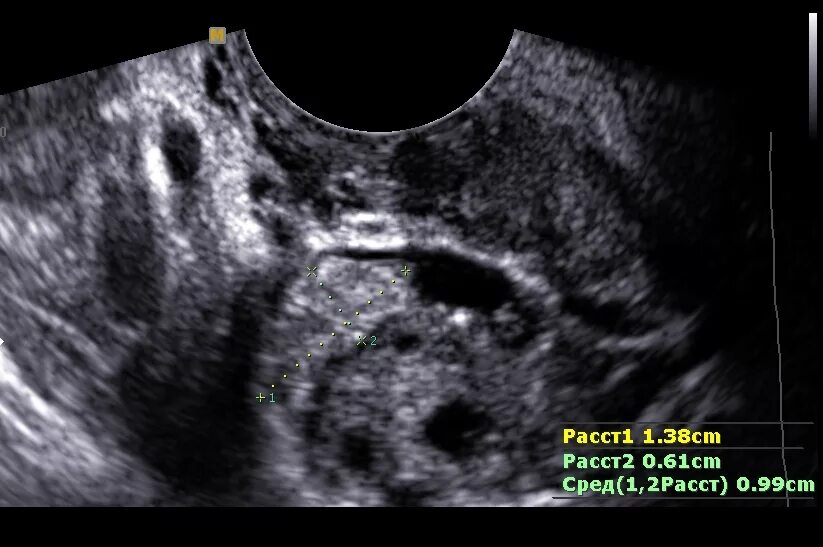
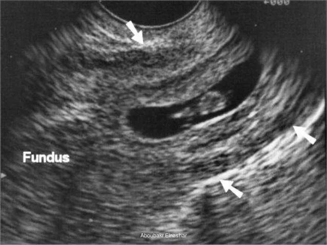
Можно ли на узи увидеть внематочную беременность