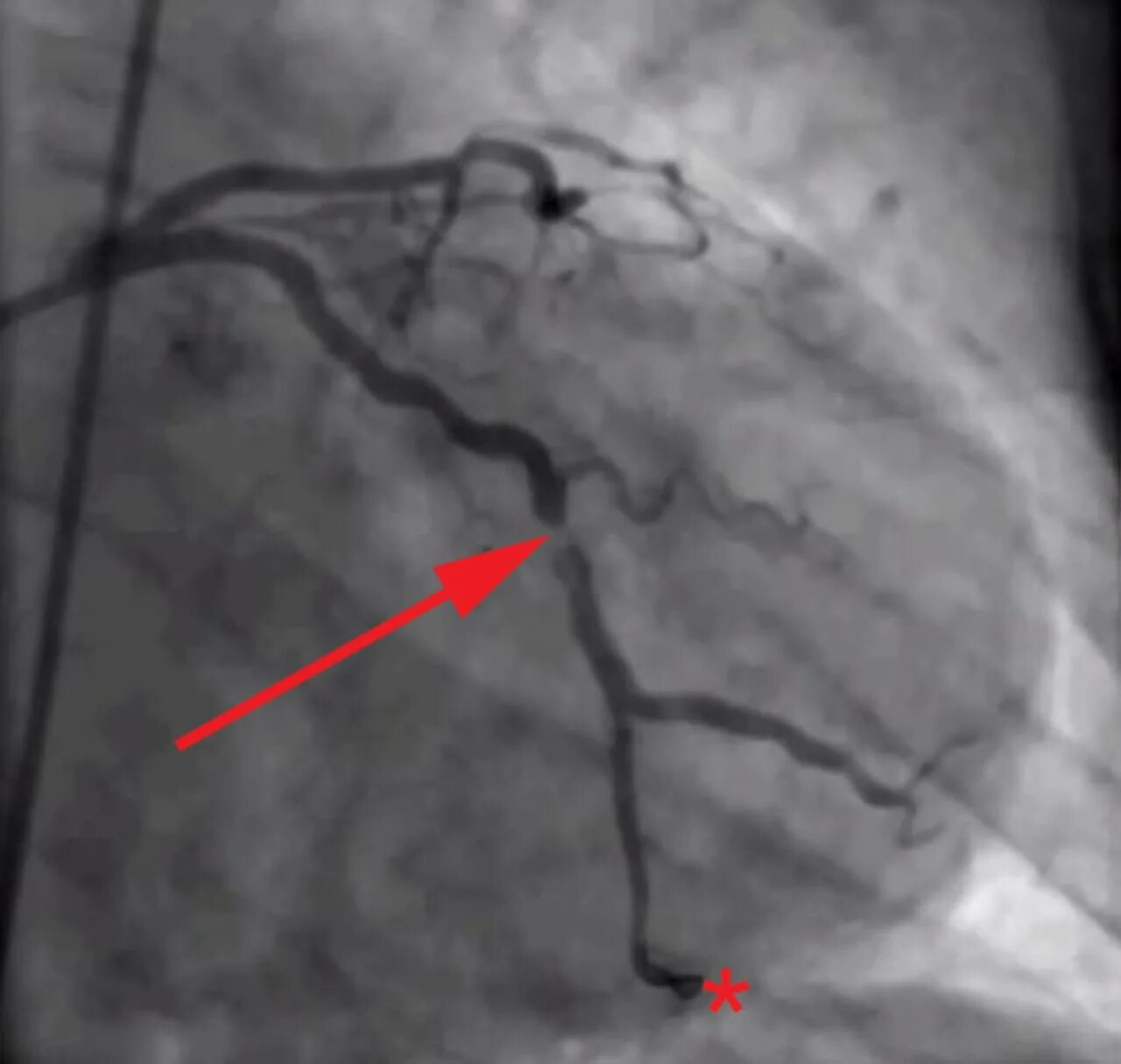
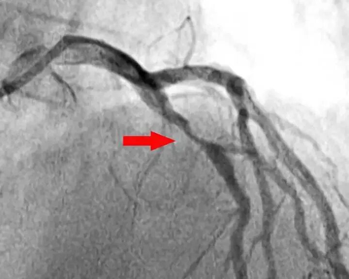
Можно ли делать кт после стентирования