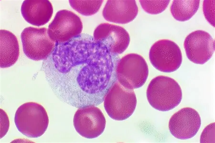
Моноциты при инфекции