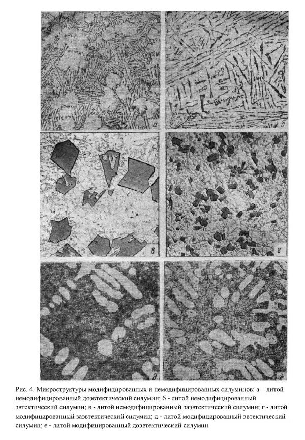
Модифицированный сплав