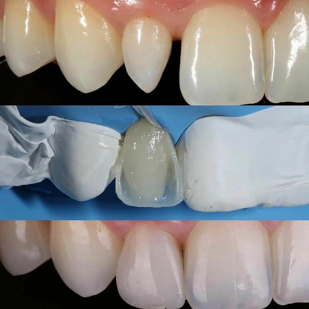
Моделирование реставрации