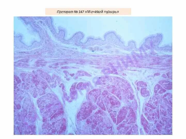
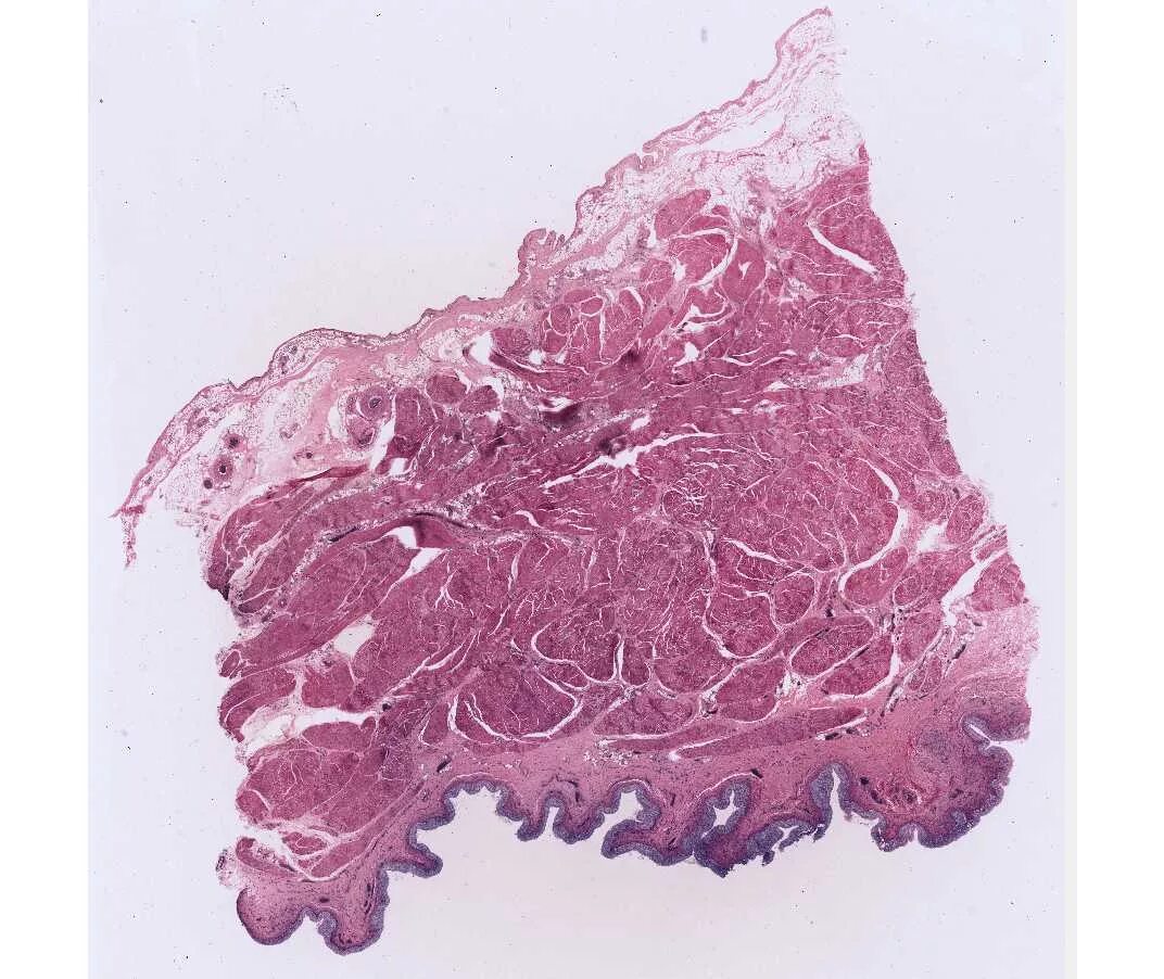
Мочевой пузырь гистологический