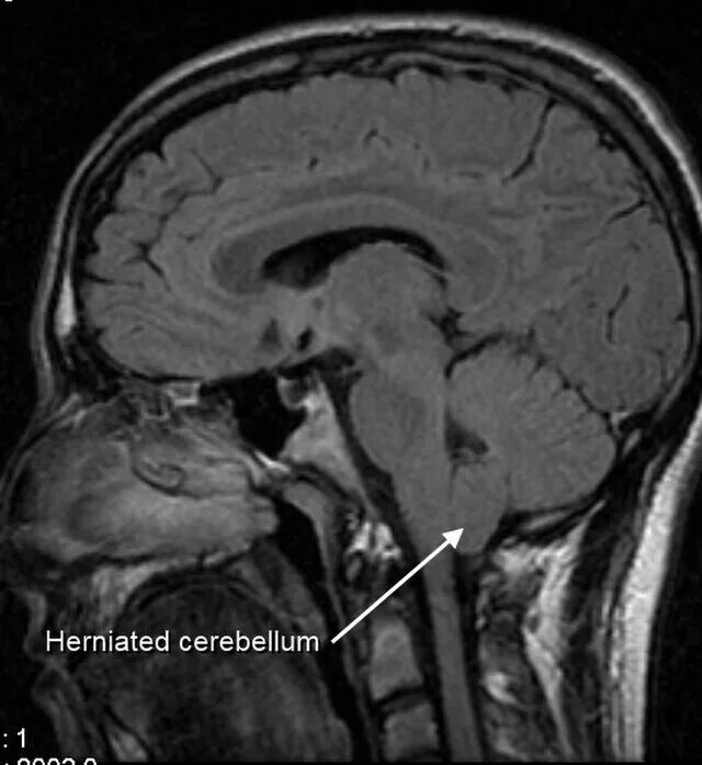
Миндалины мозжечка выше уровня