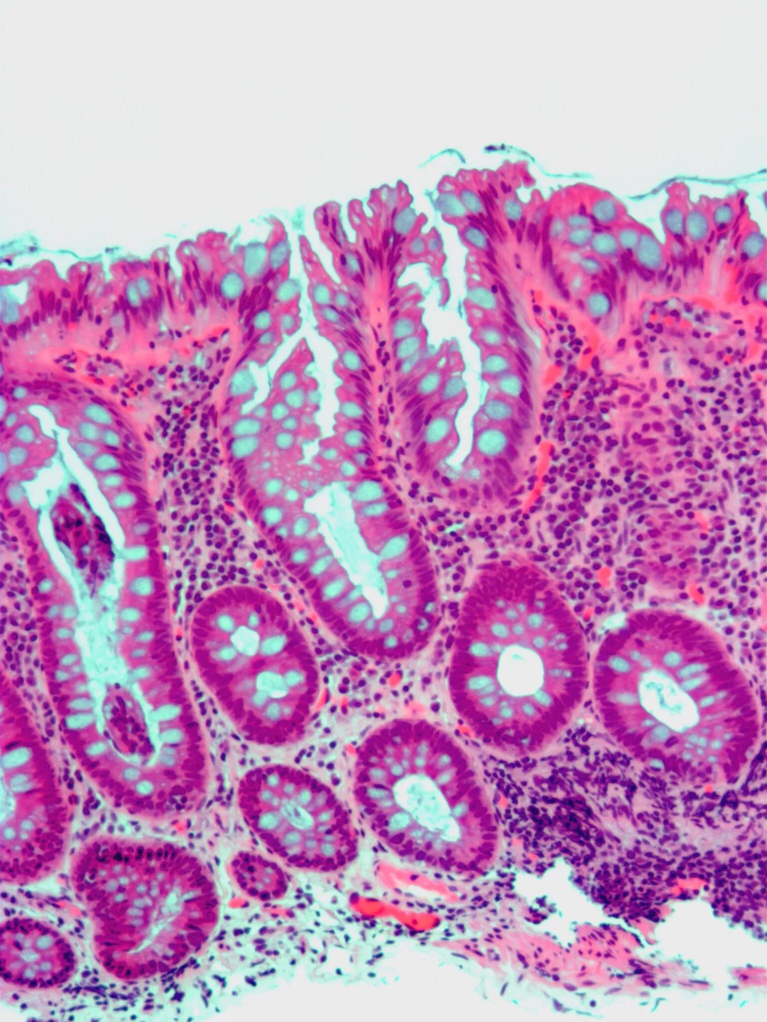
Микровезикулярный тип это