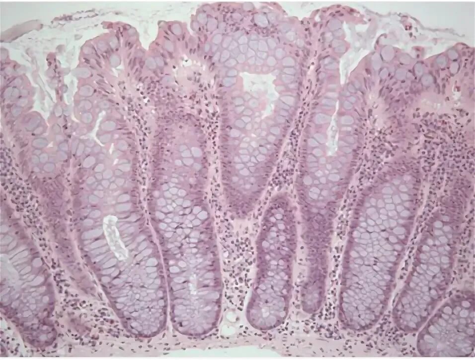
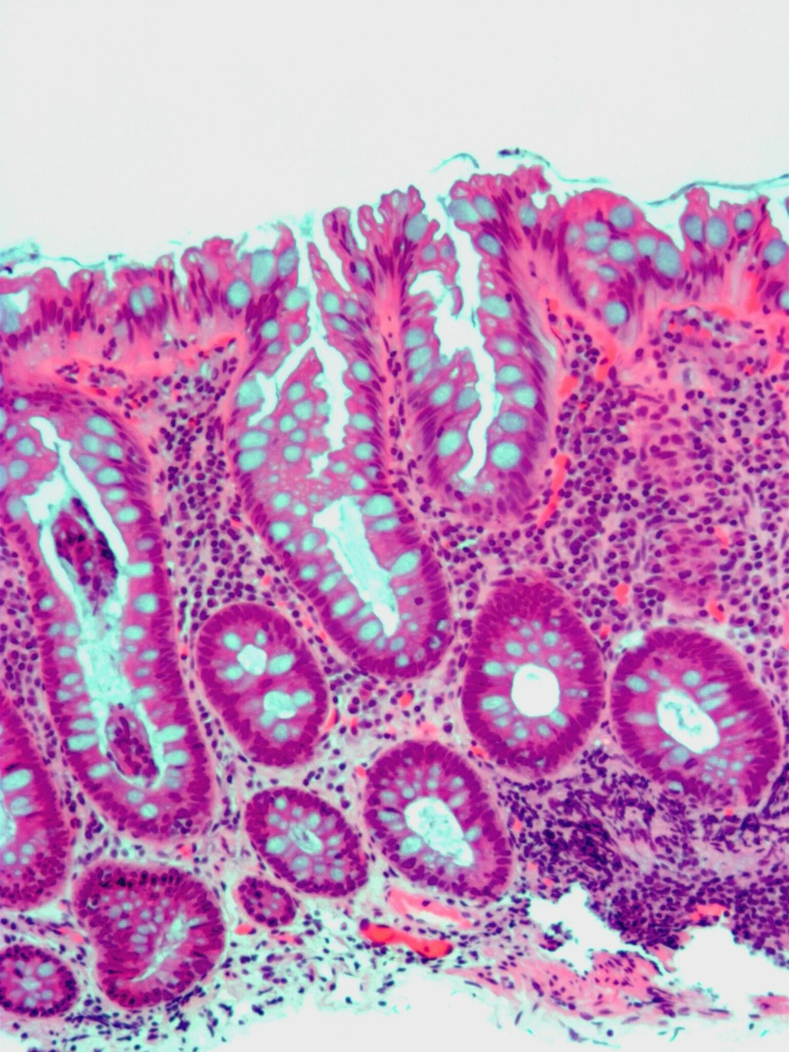
Микровезикулярный полип что это