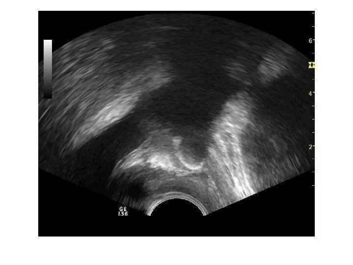
Микрокальцинаты предстательной