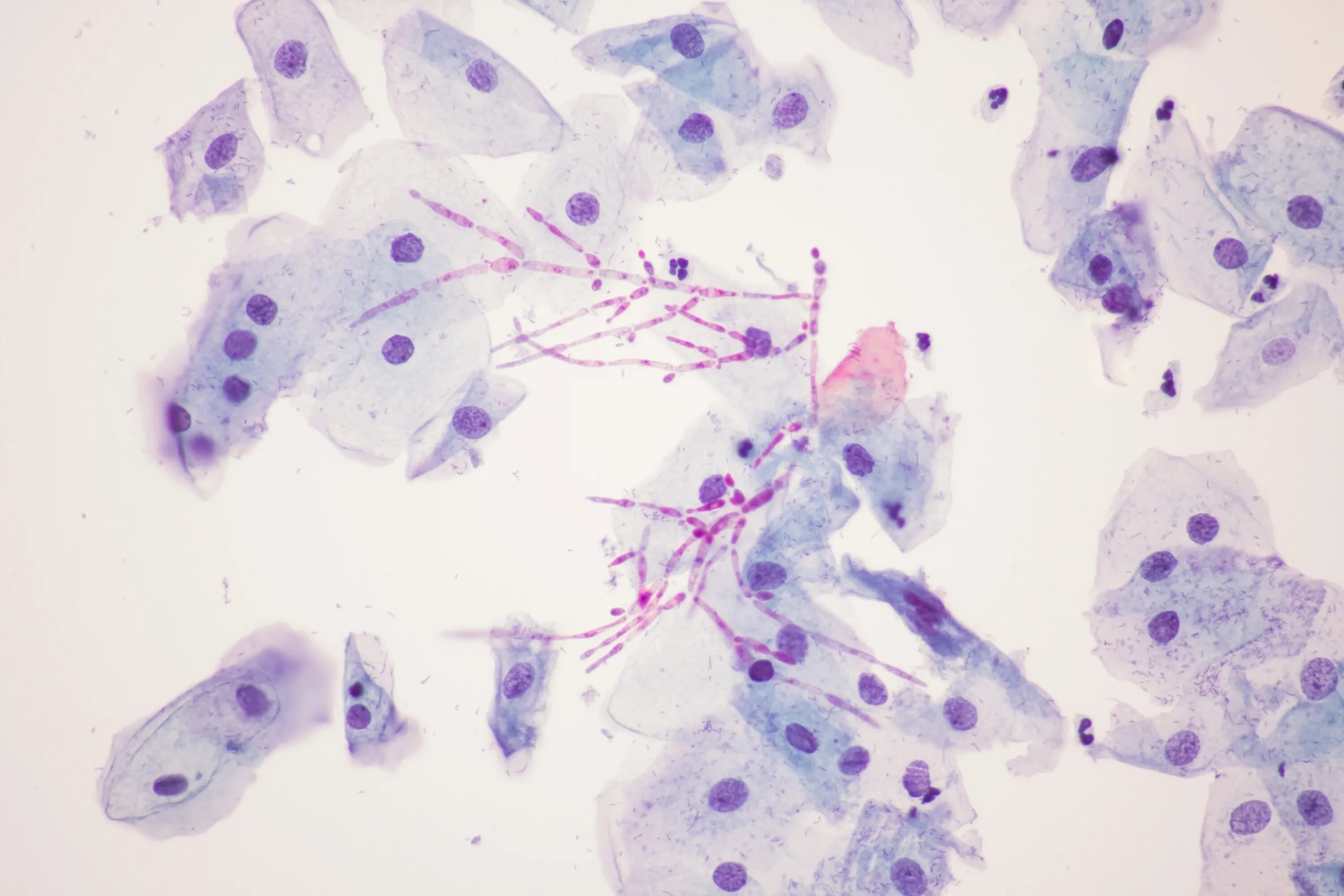
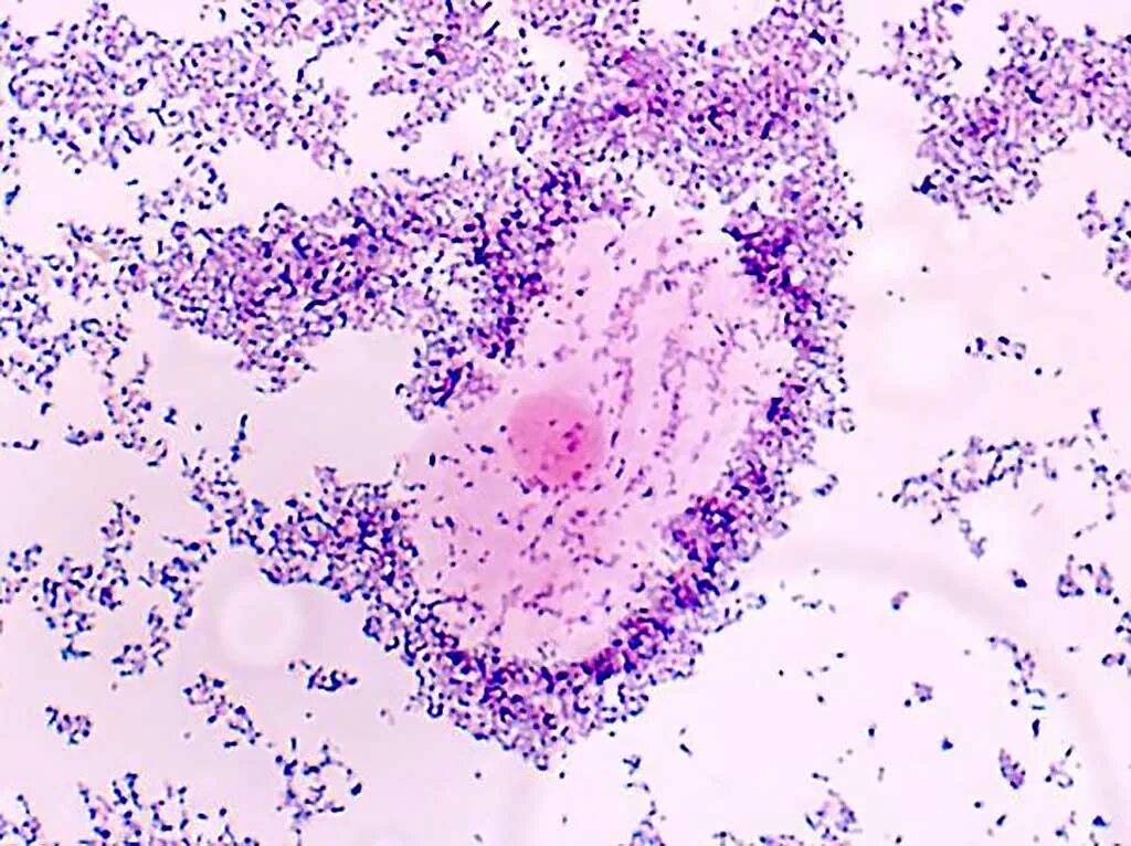
Микрофлора гинекологии