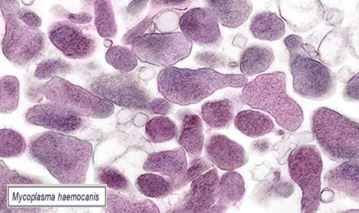
Микоплазмоз у собак симптомы