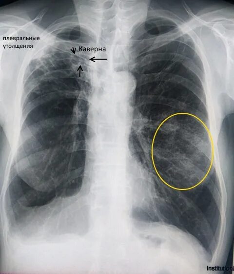
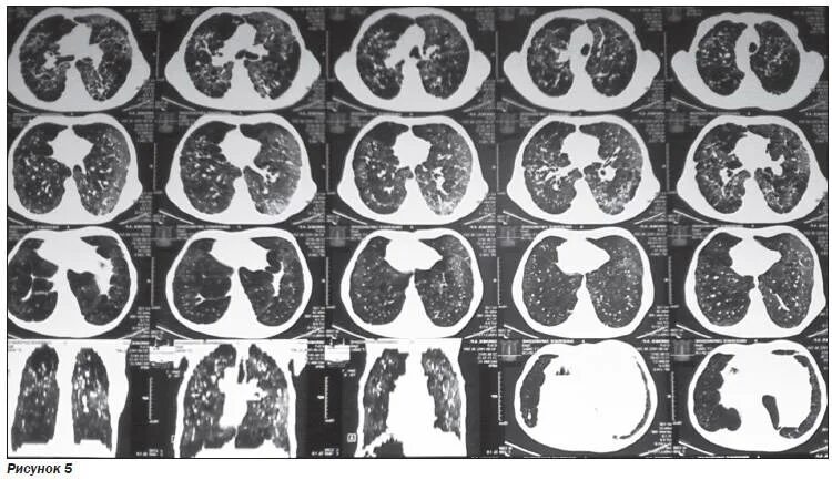
Метатуберкулезные изменения в легких что это означает