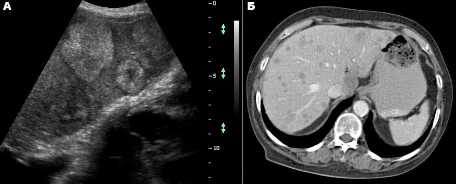
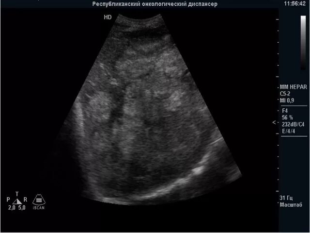
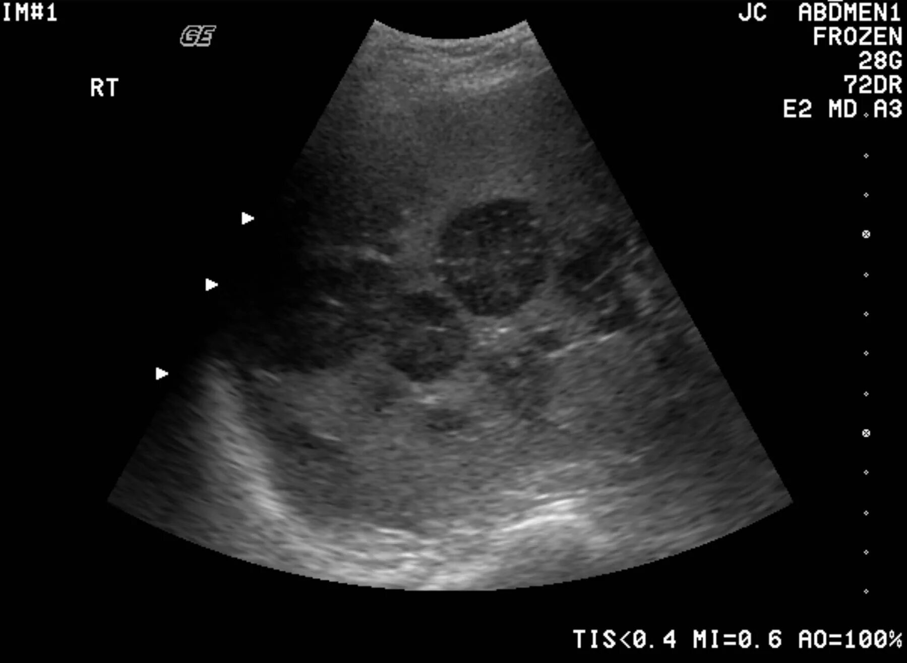
Метастазы в печени на узи