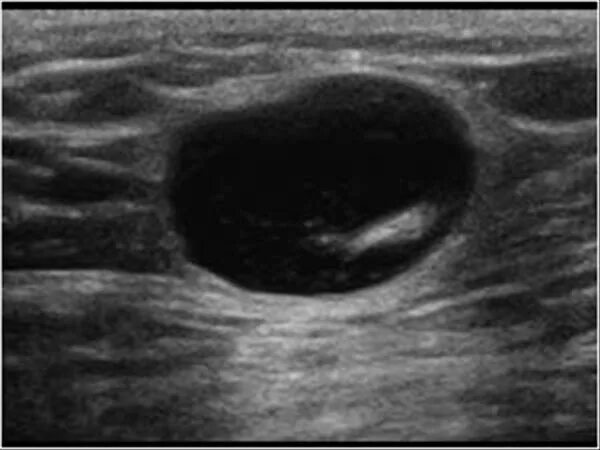
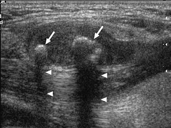
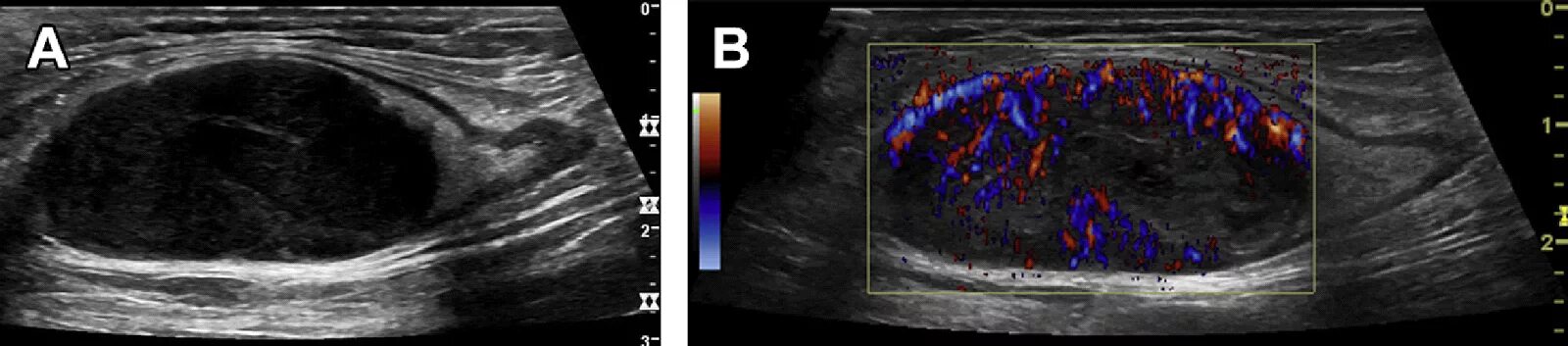
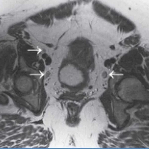
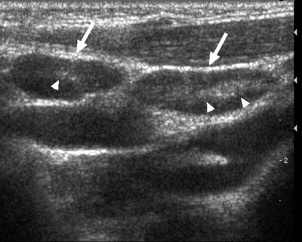
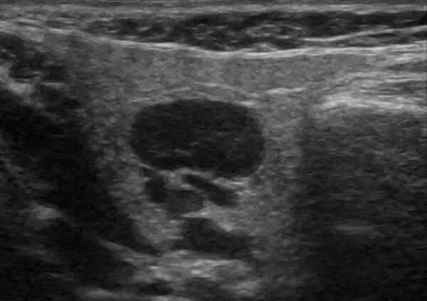
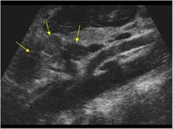
Метастазы в паховых лимфоузлах