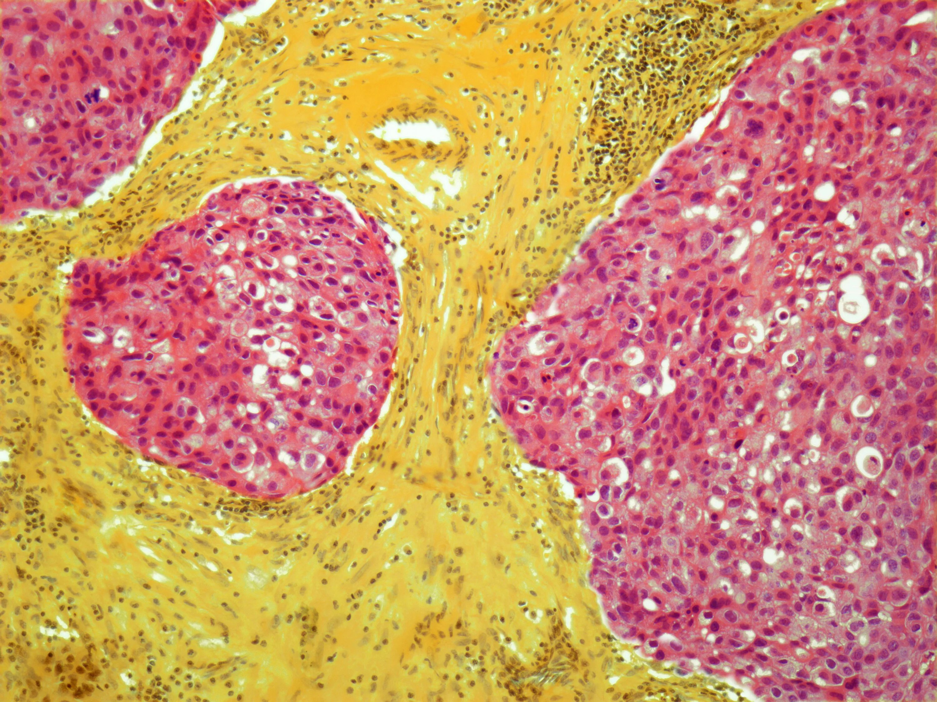
Метастазы в молочную железу