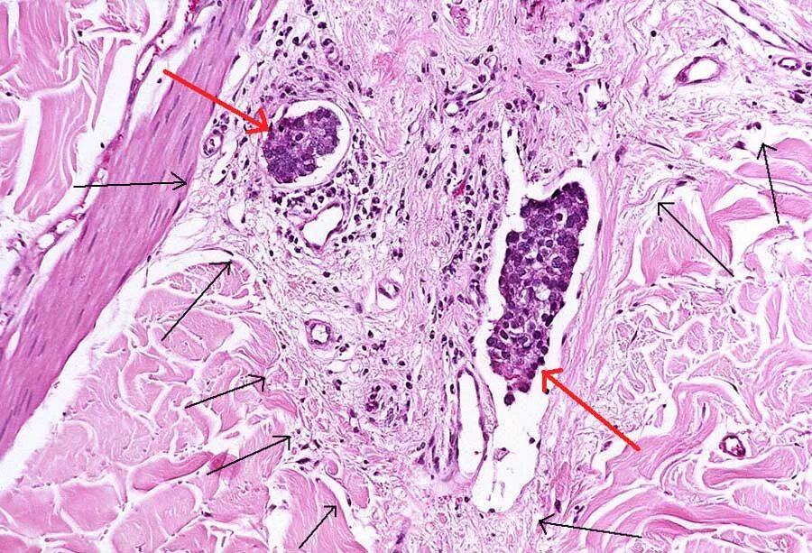
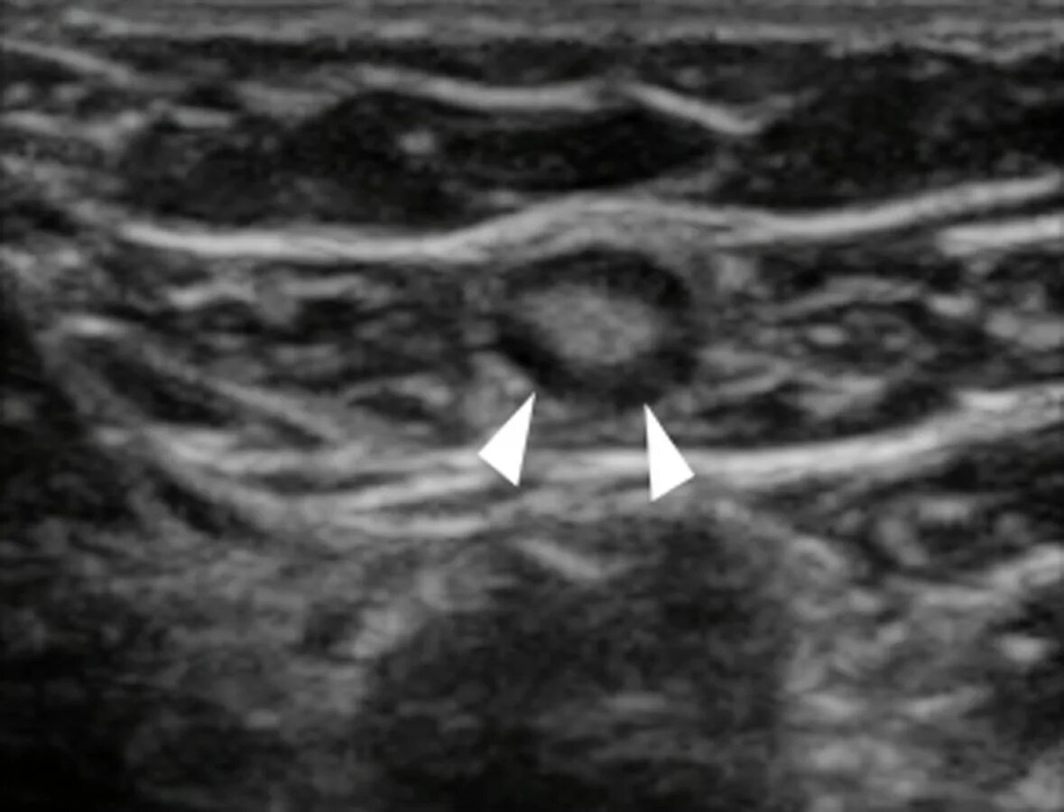
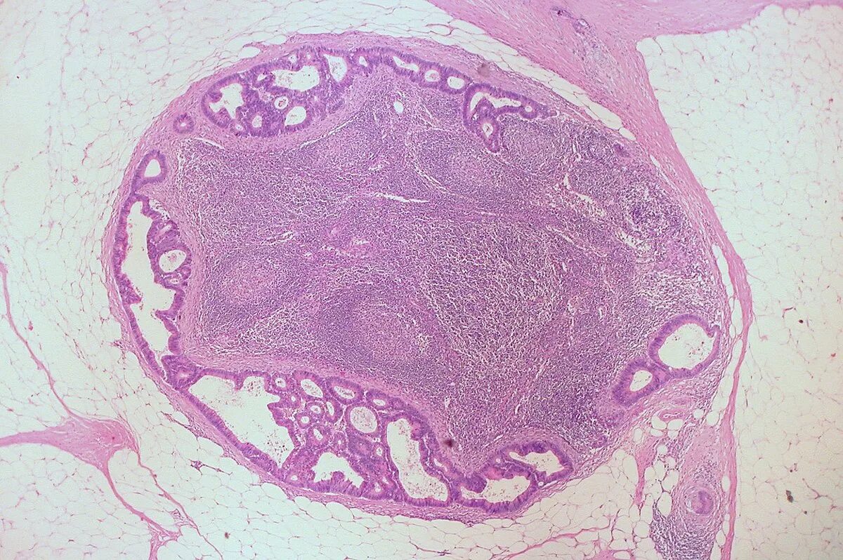
Метастазы в лимфоузлах молочной железы