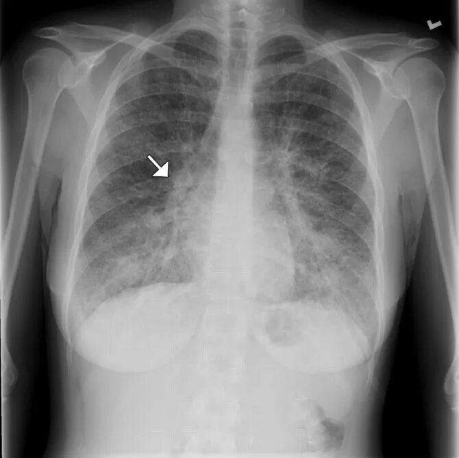
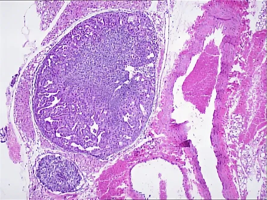
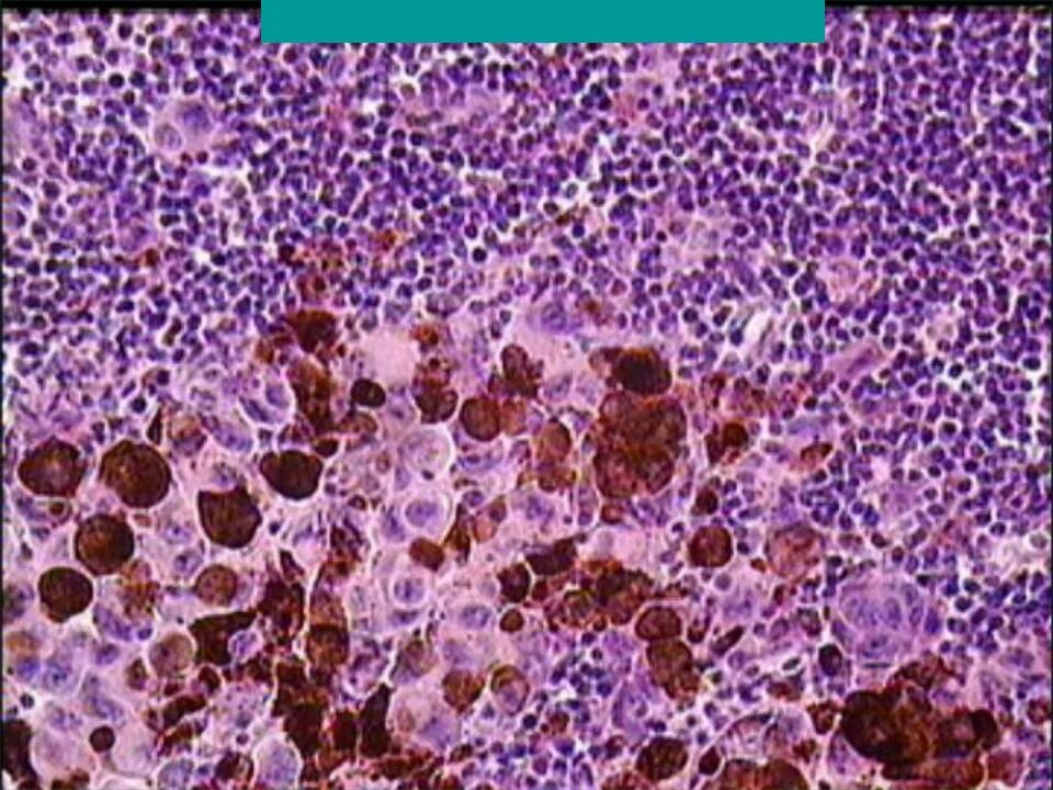
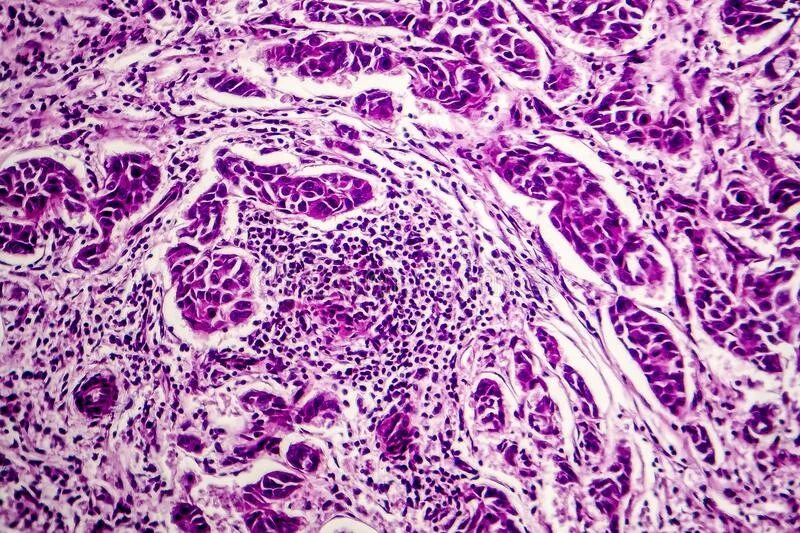
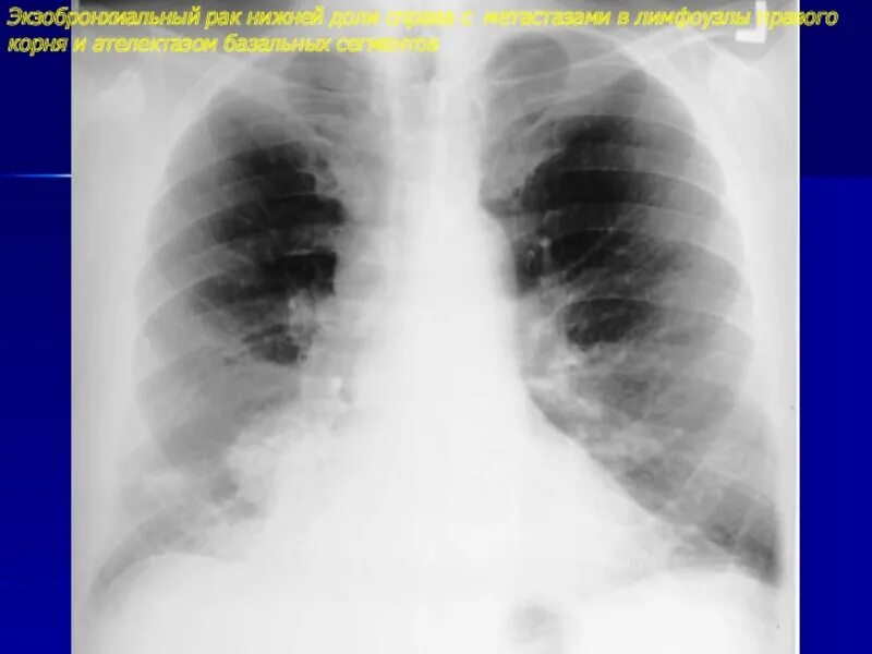
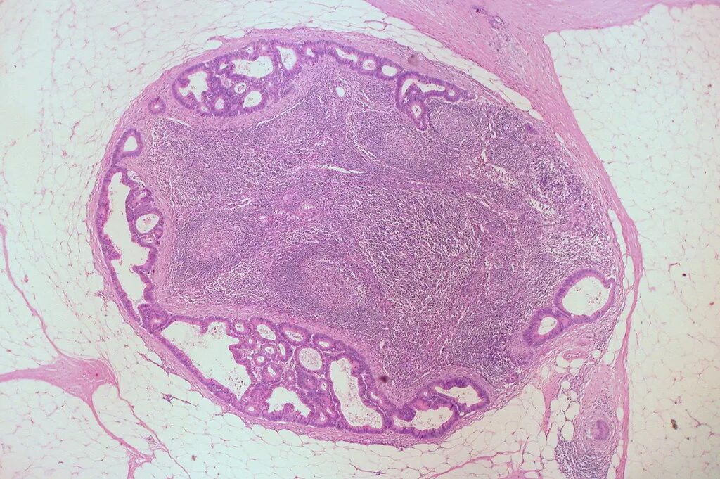
Метастазы в лимфоузлах легких