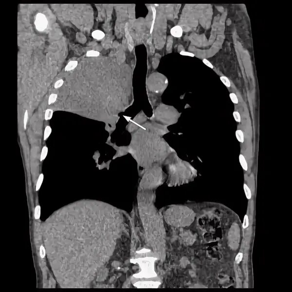
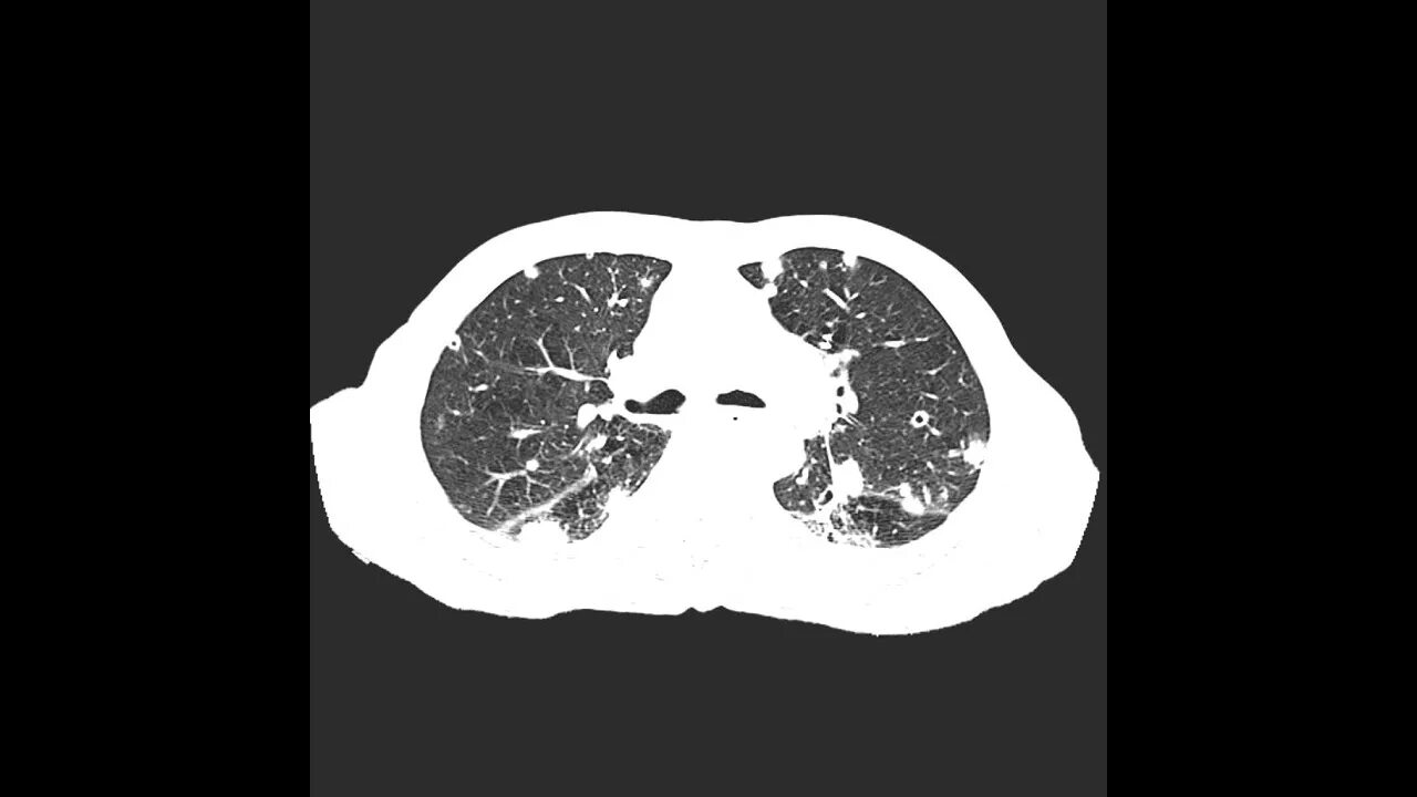
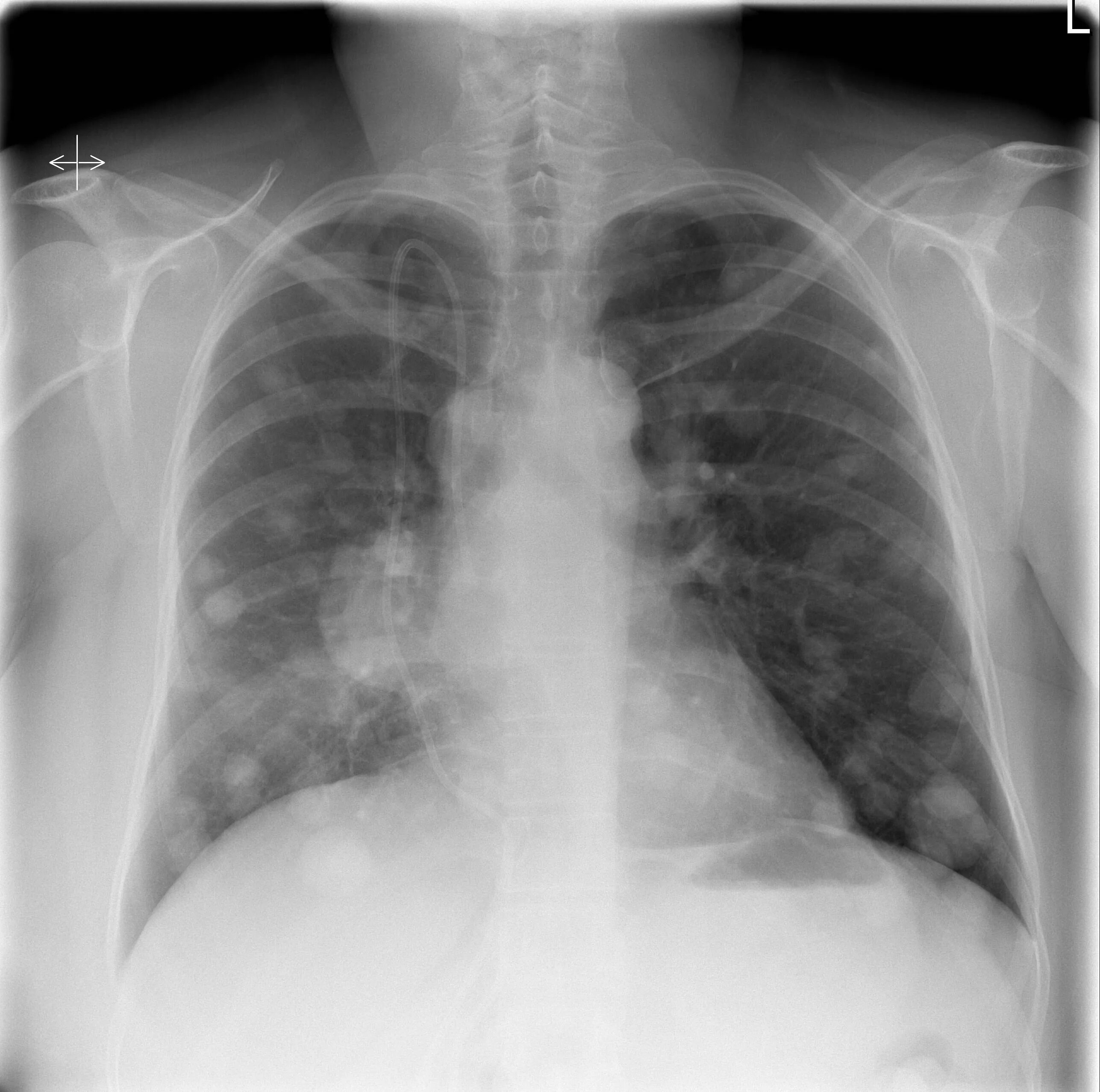
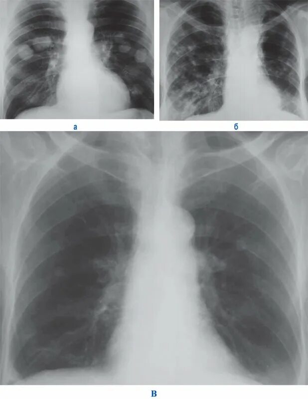
Метастазы в легких терапия