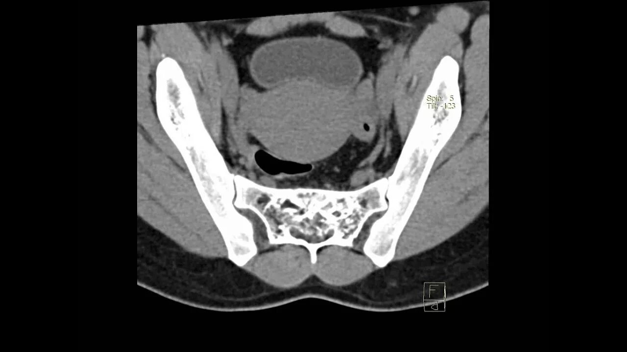
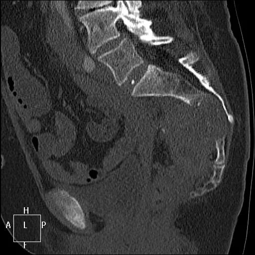
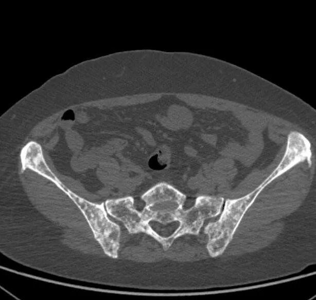
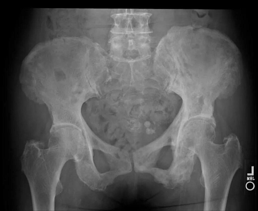
Метастазы в крестце