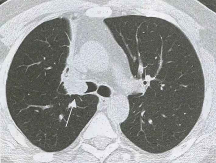
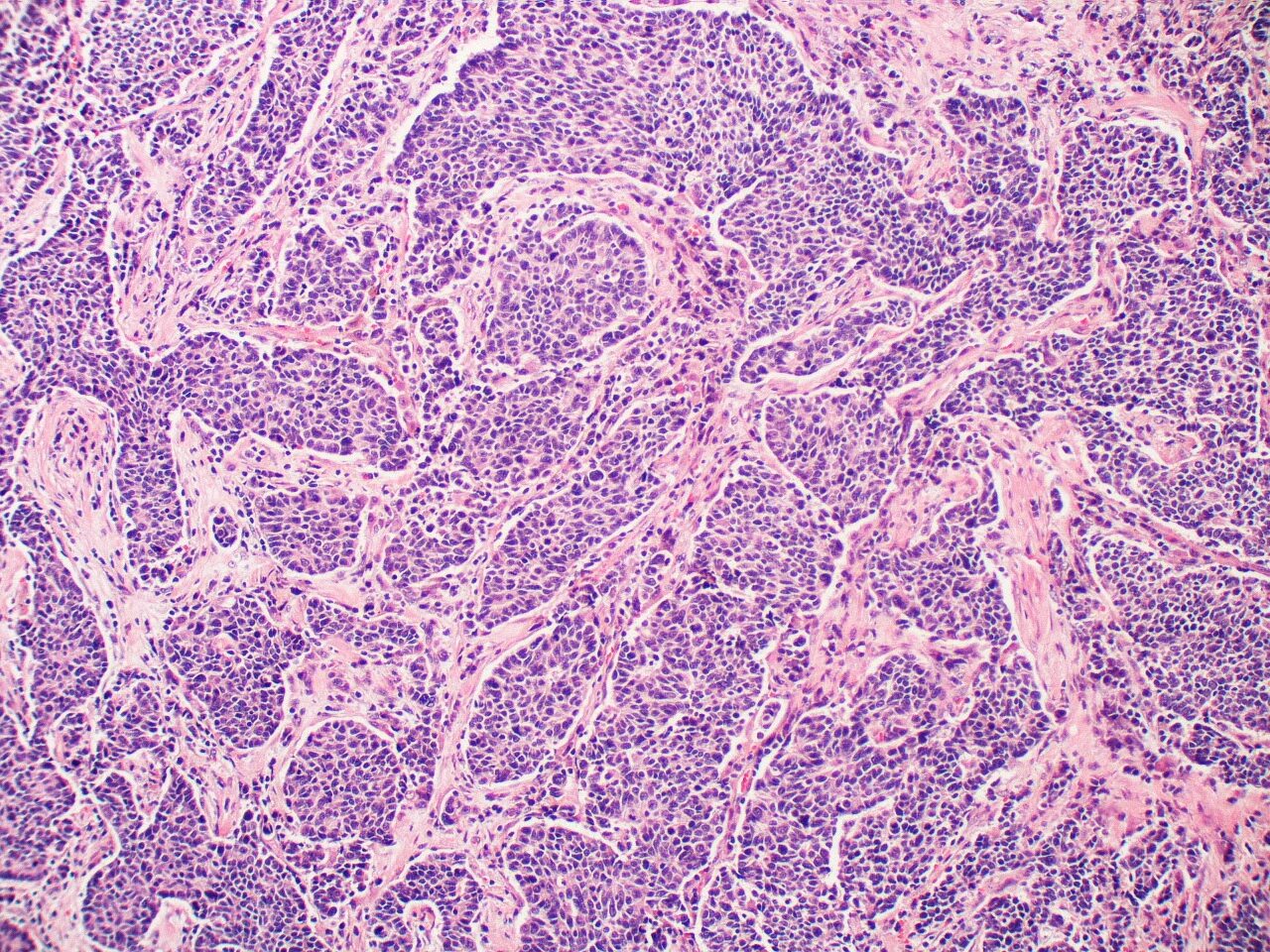
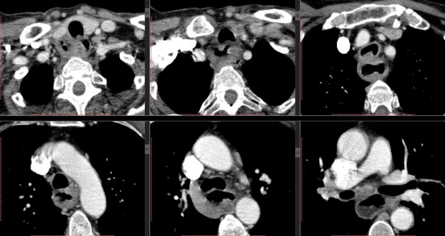
Метастазы трахеи