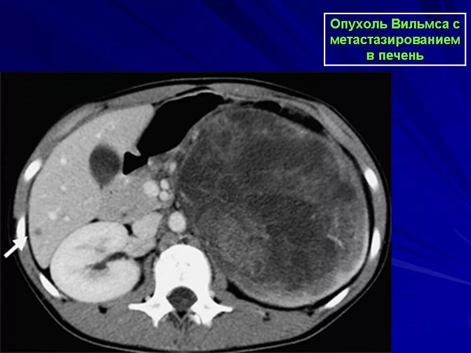
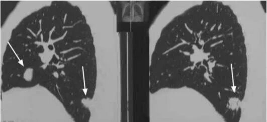
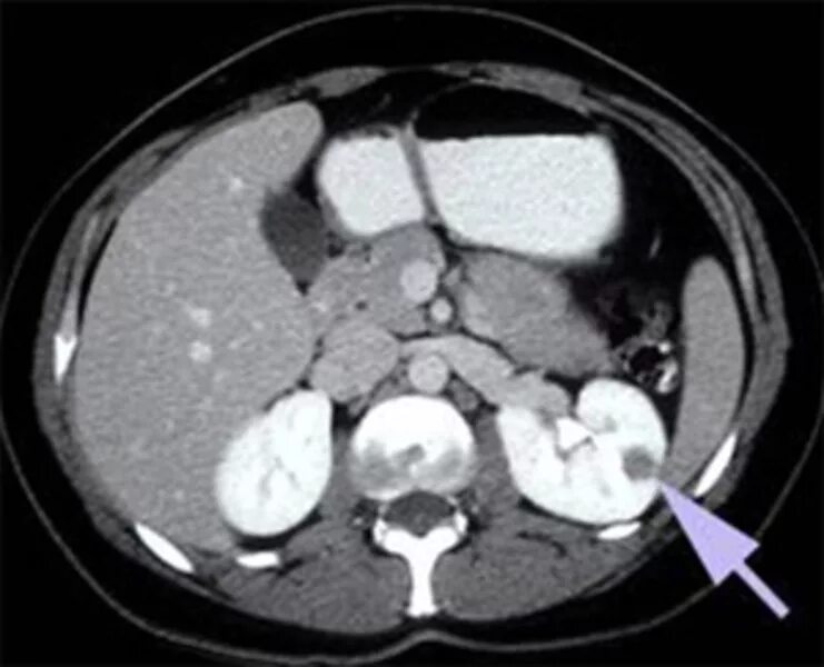
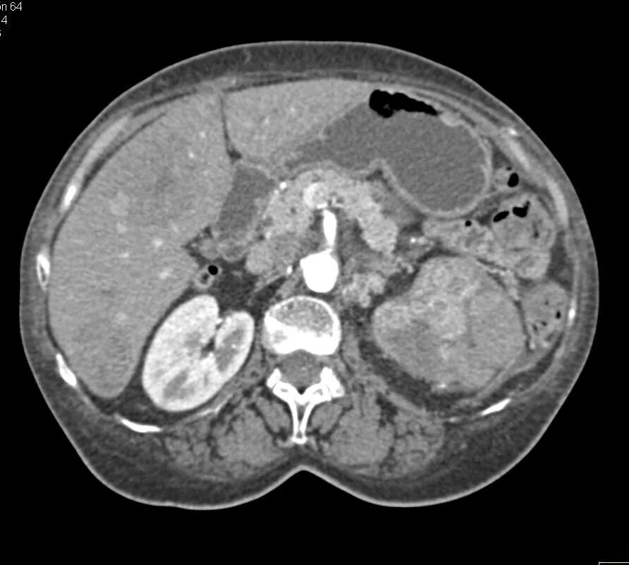
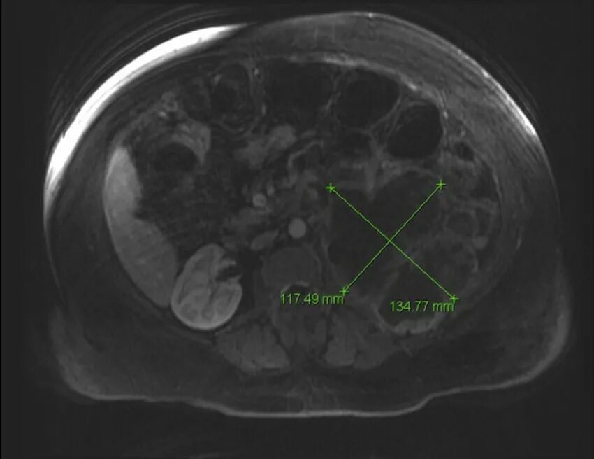
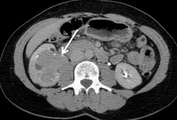
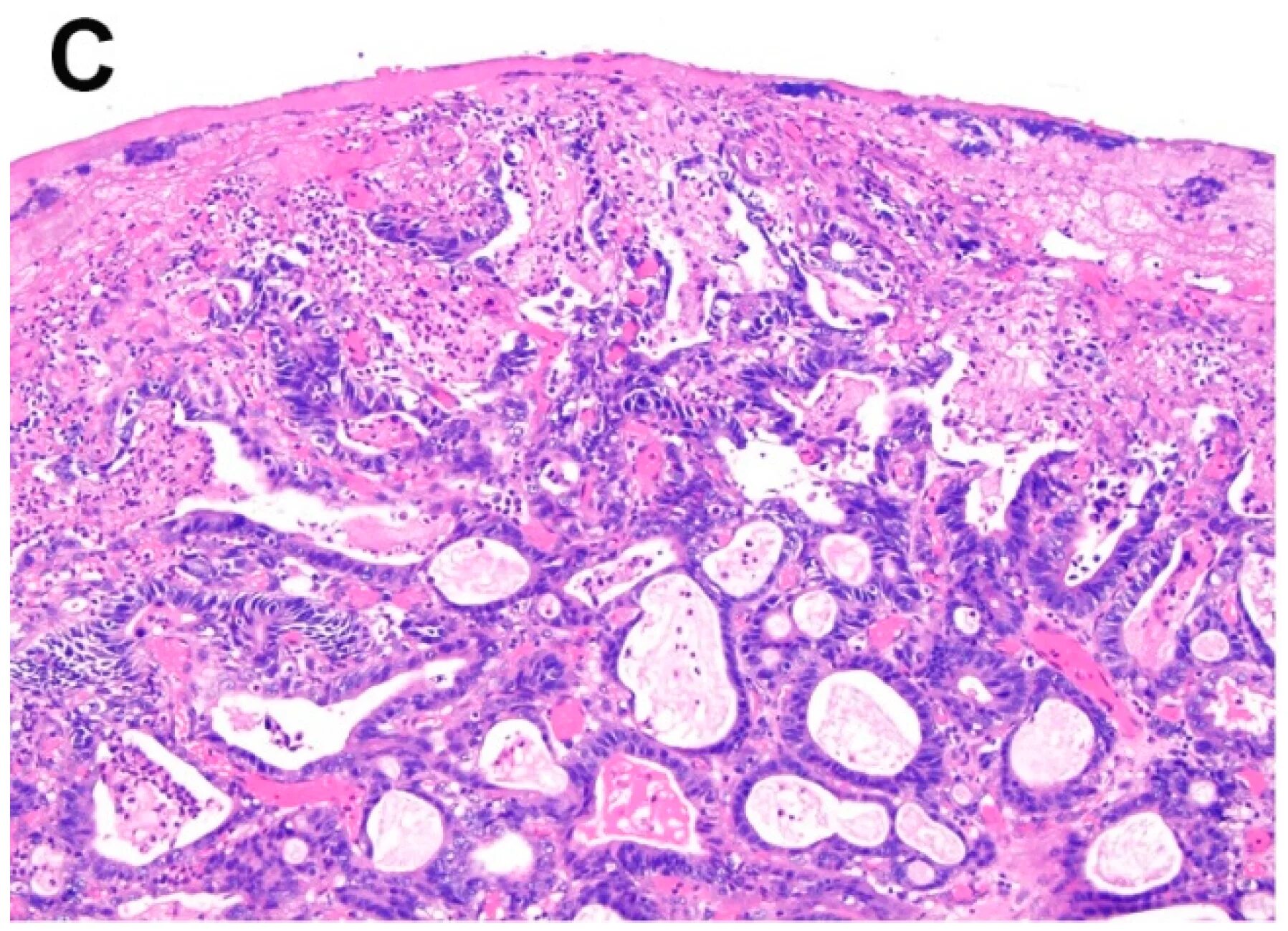
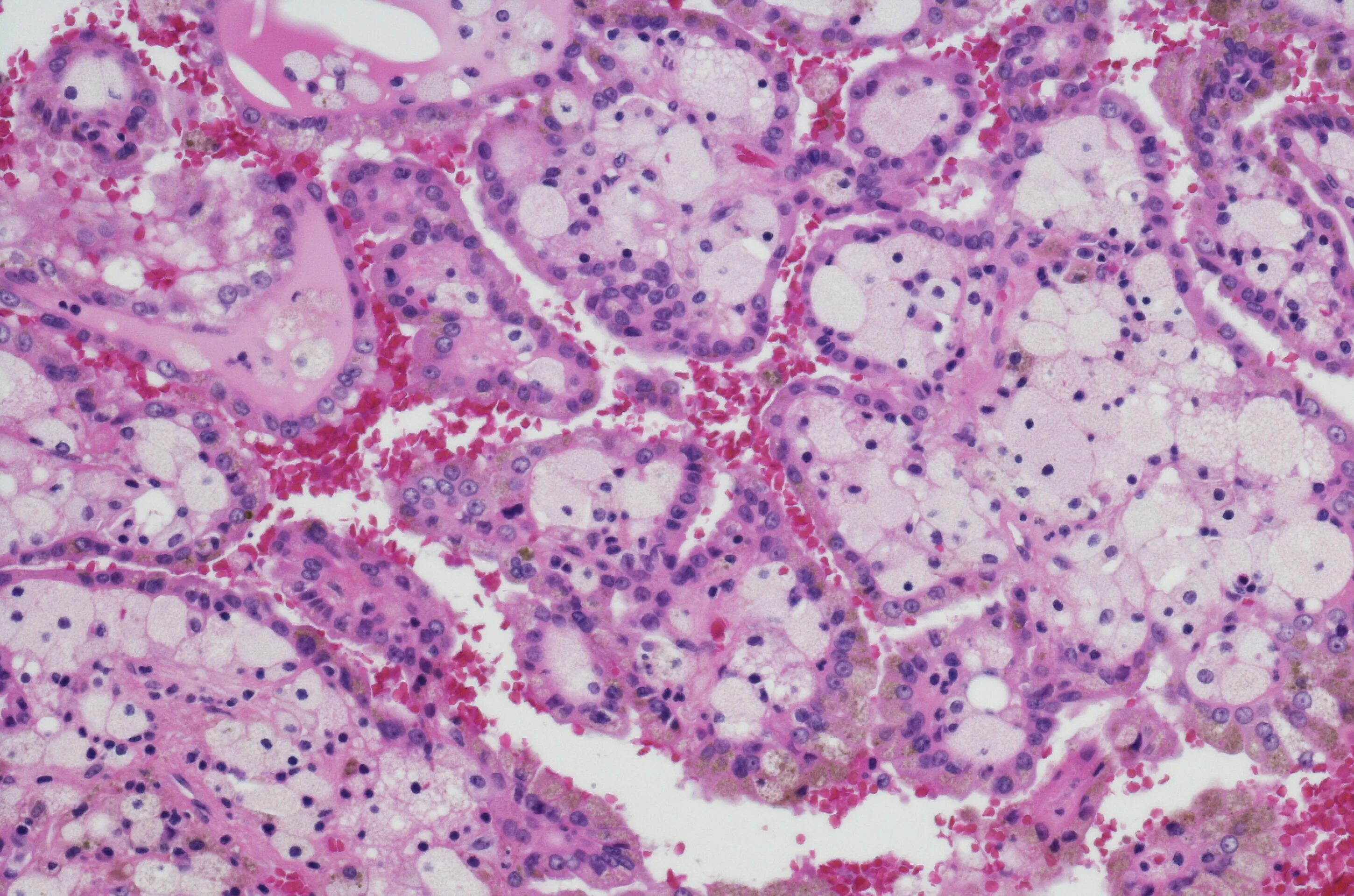
Метастазы рака почки