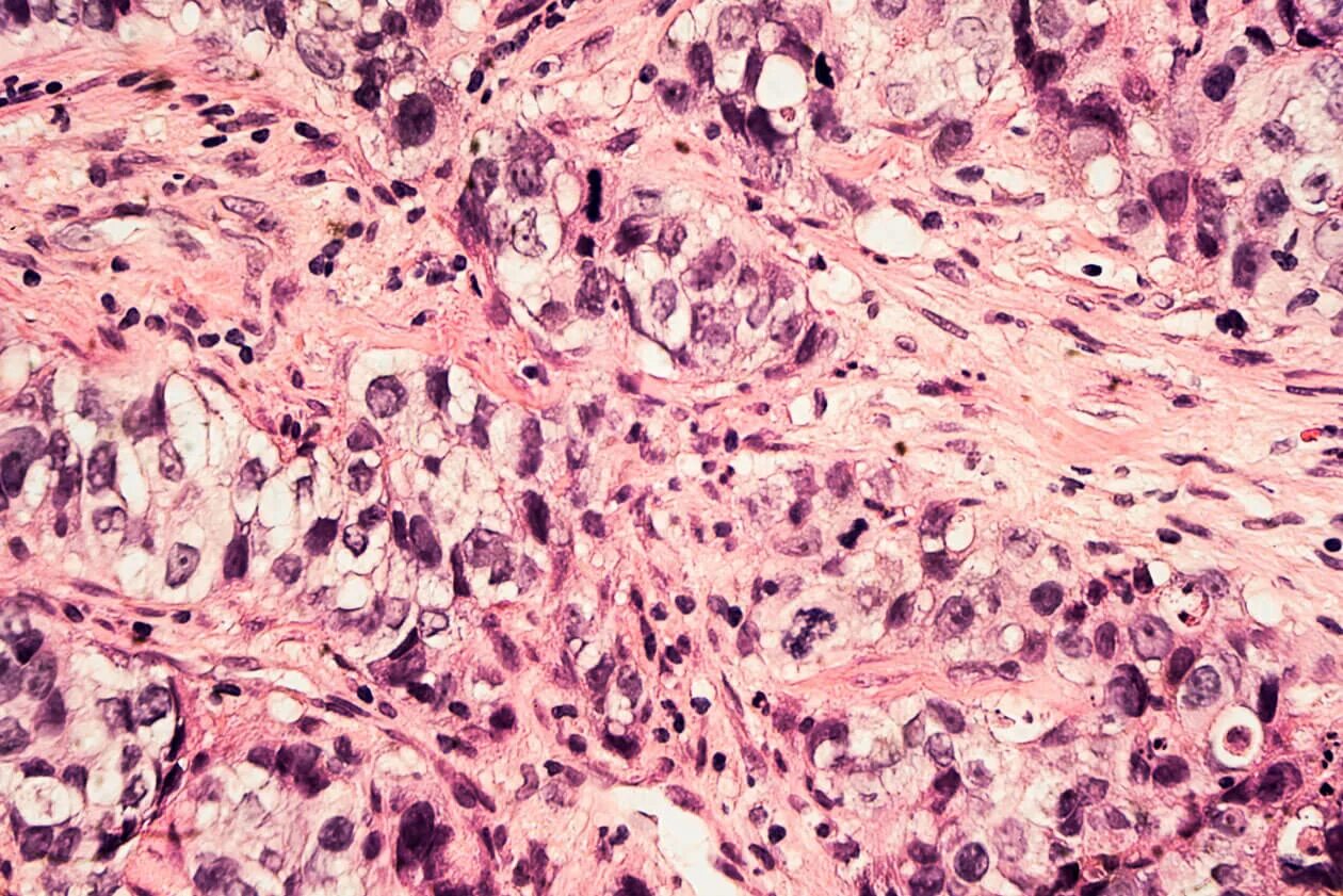
Метастазы рака молочной железы 3 стадии