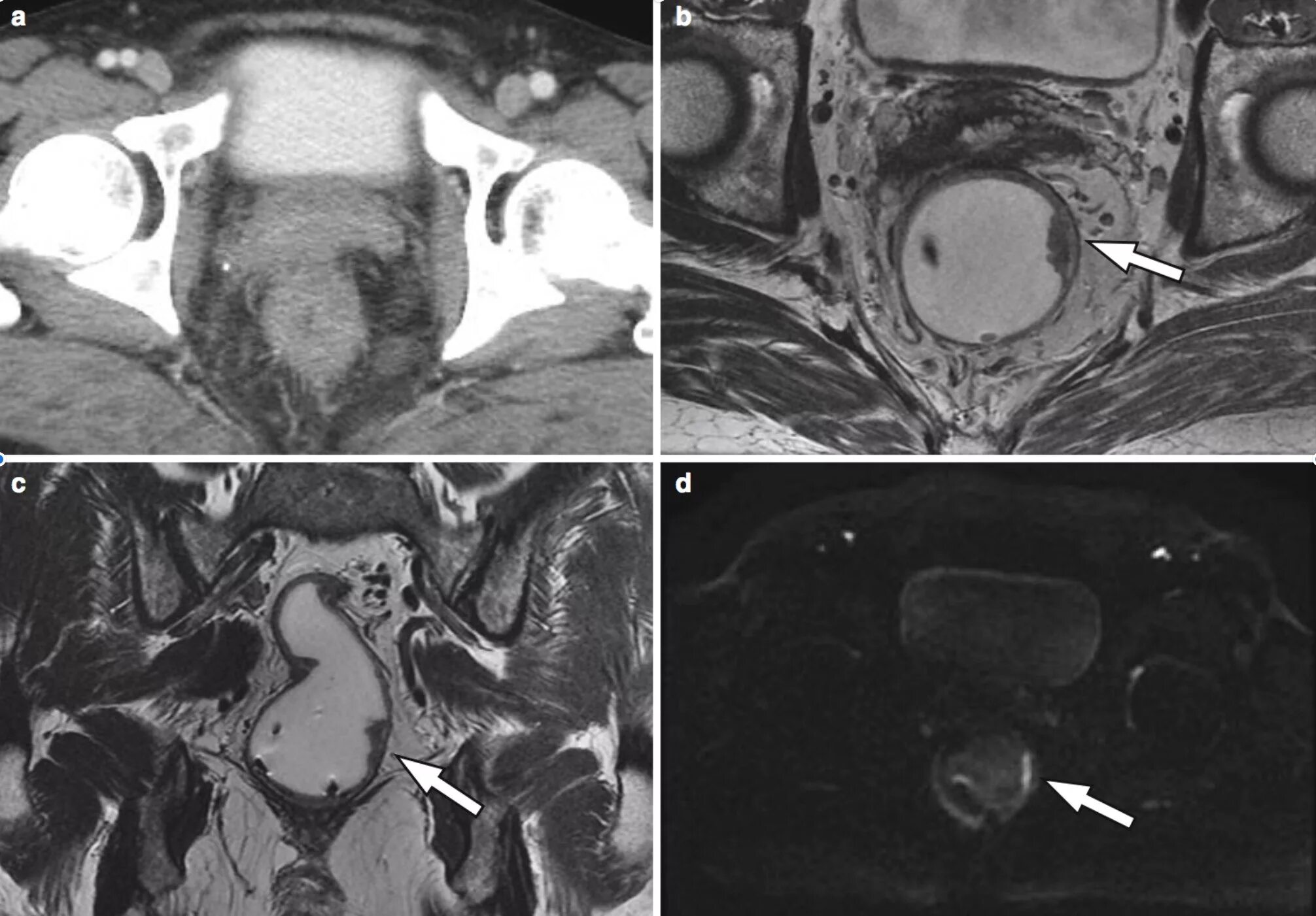
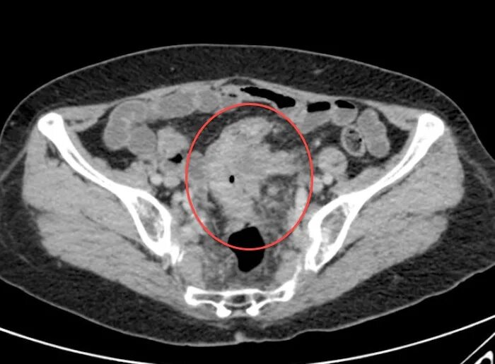
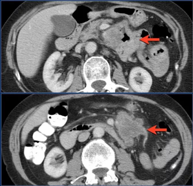
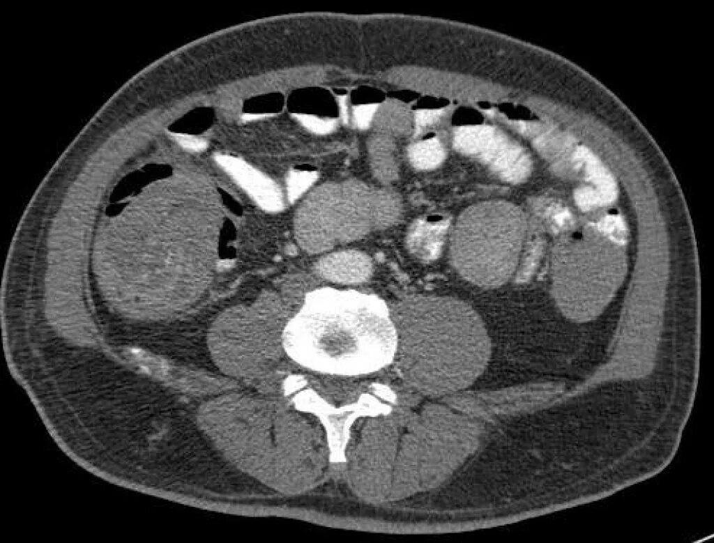
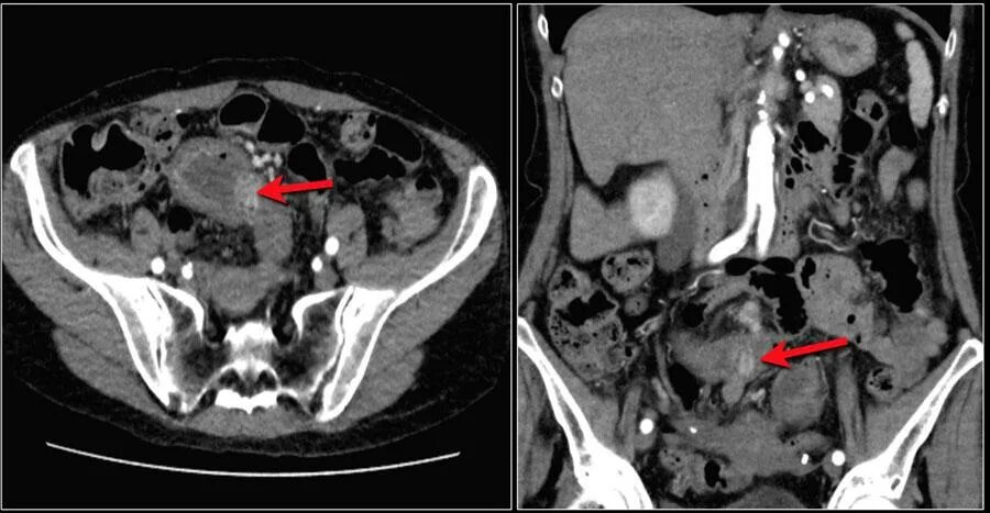
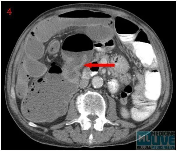
Метастазы при раке сигмовидной кишки