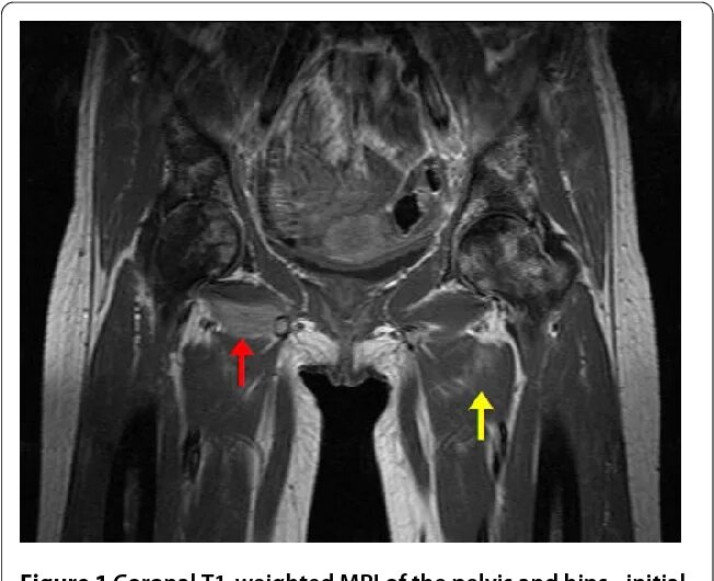
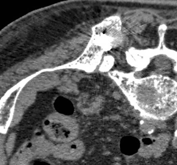
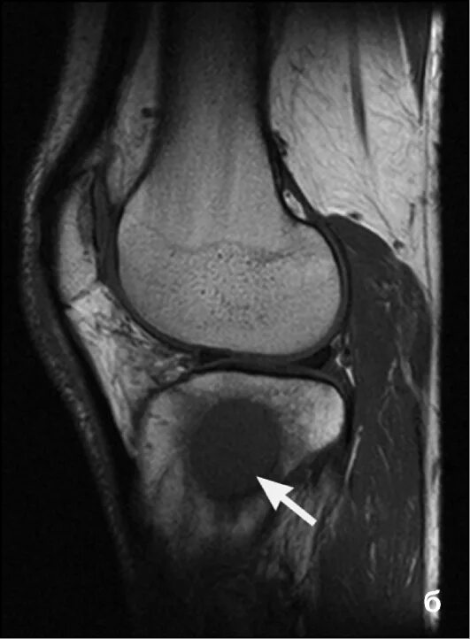
Метастазы костных тканей