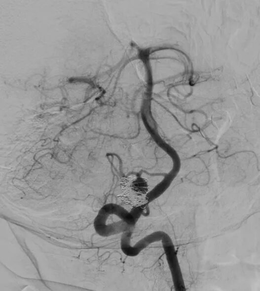
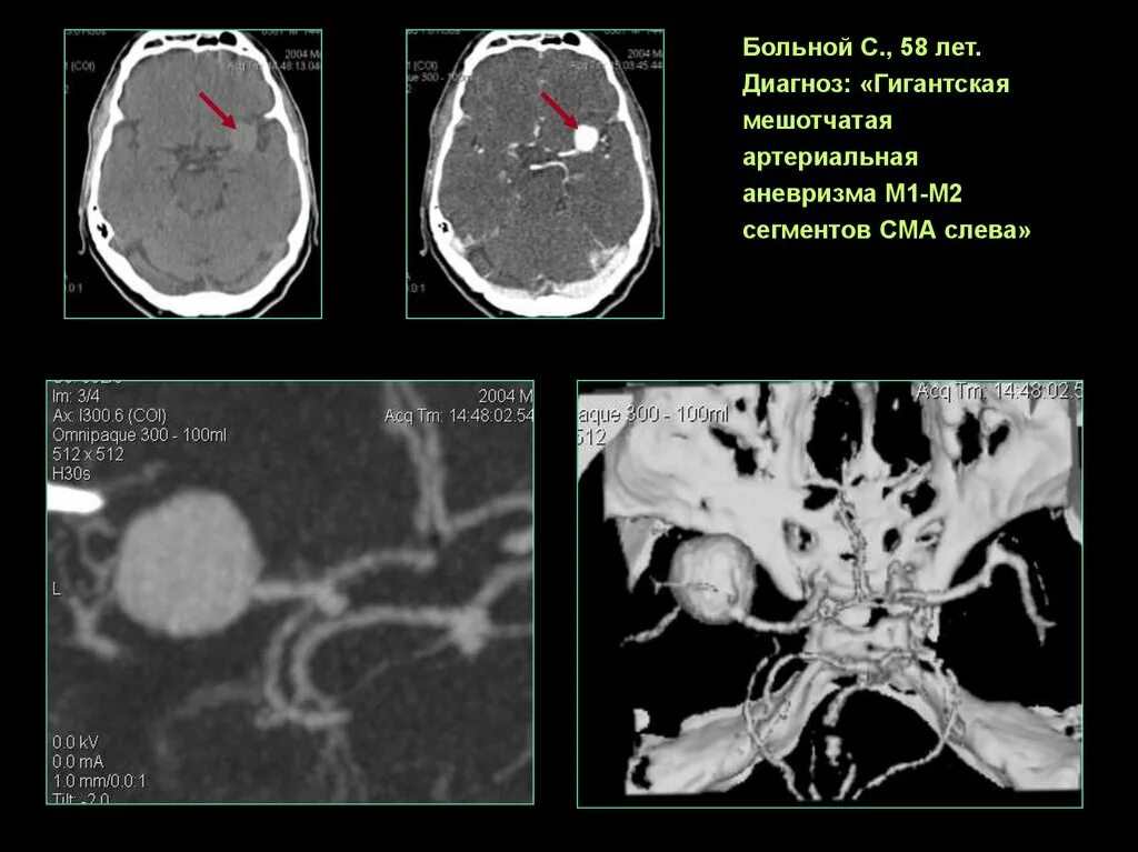
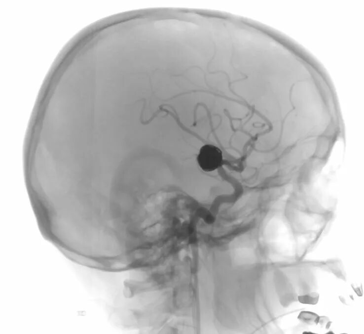
Мешотчатая аневризма внутренней