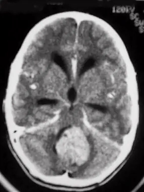
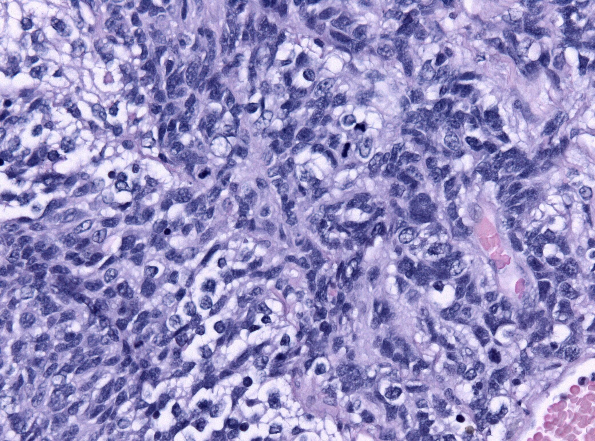
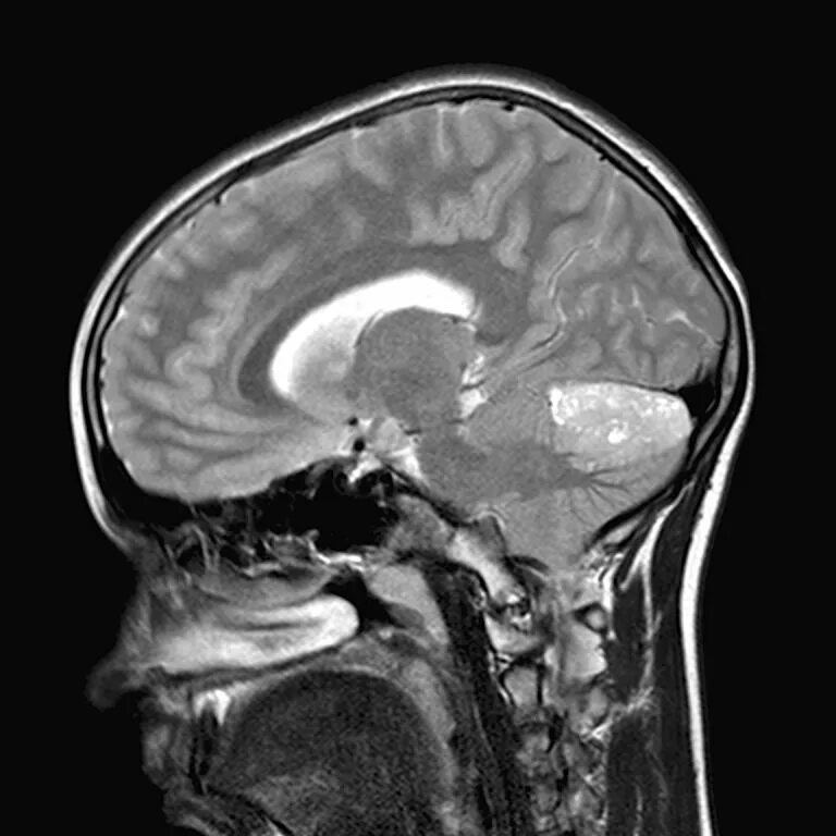
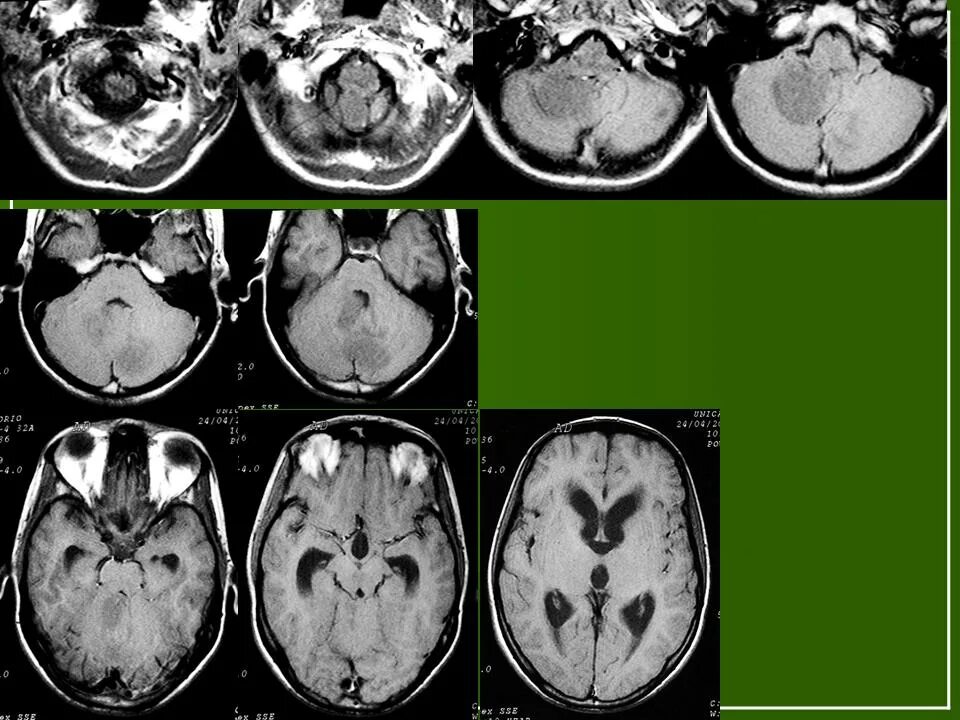
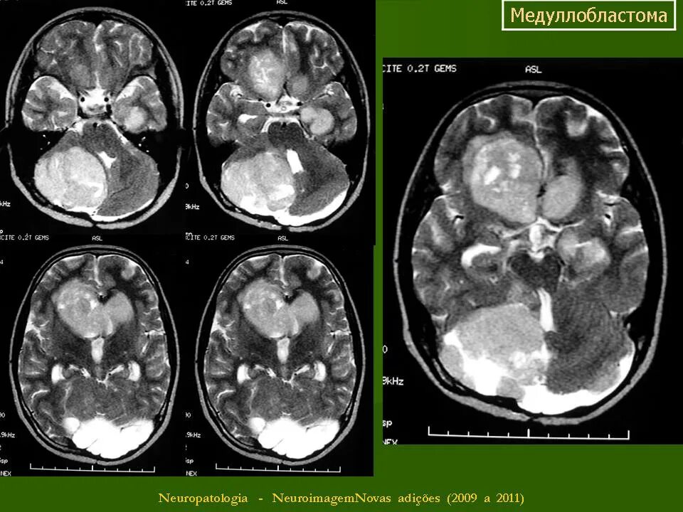
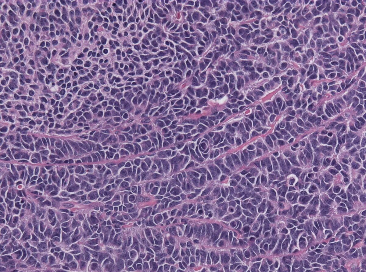
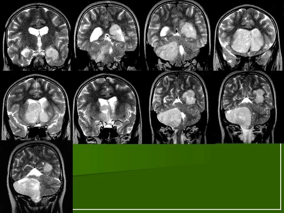
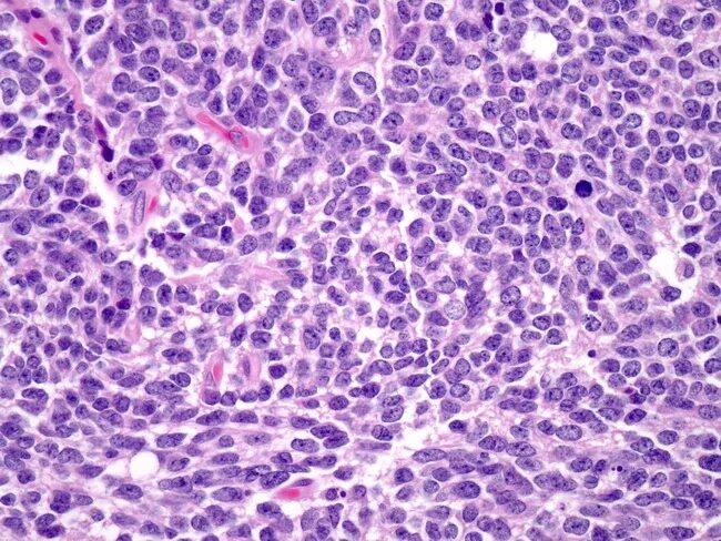
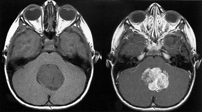
Медуллобластома это