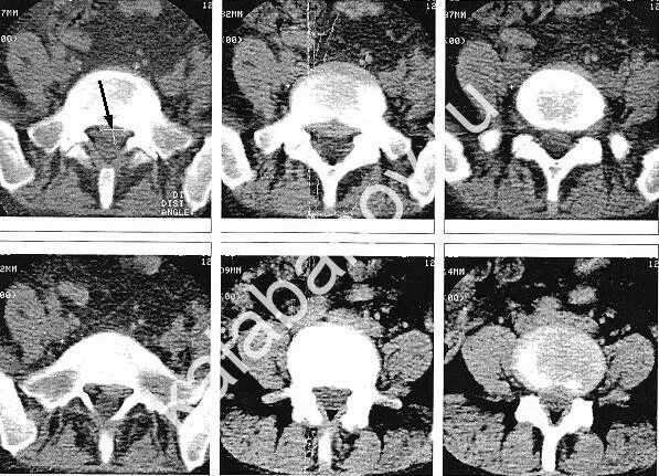
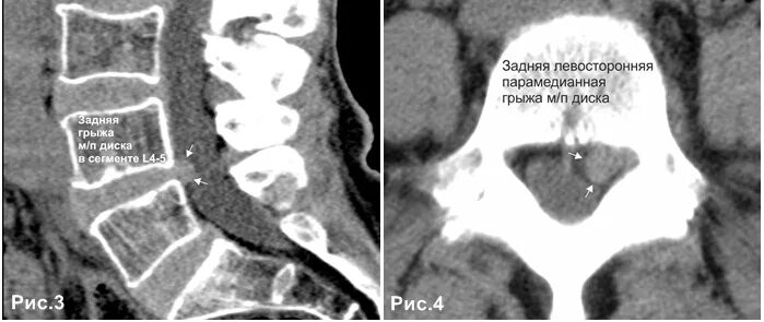
Медианно парамедианная протрузия диска