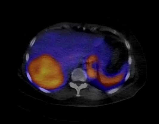
Меченый эритроцит