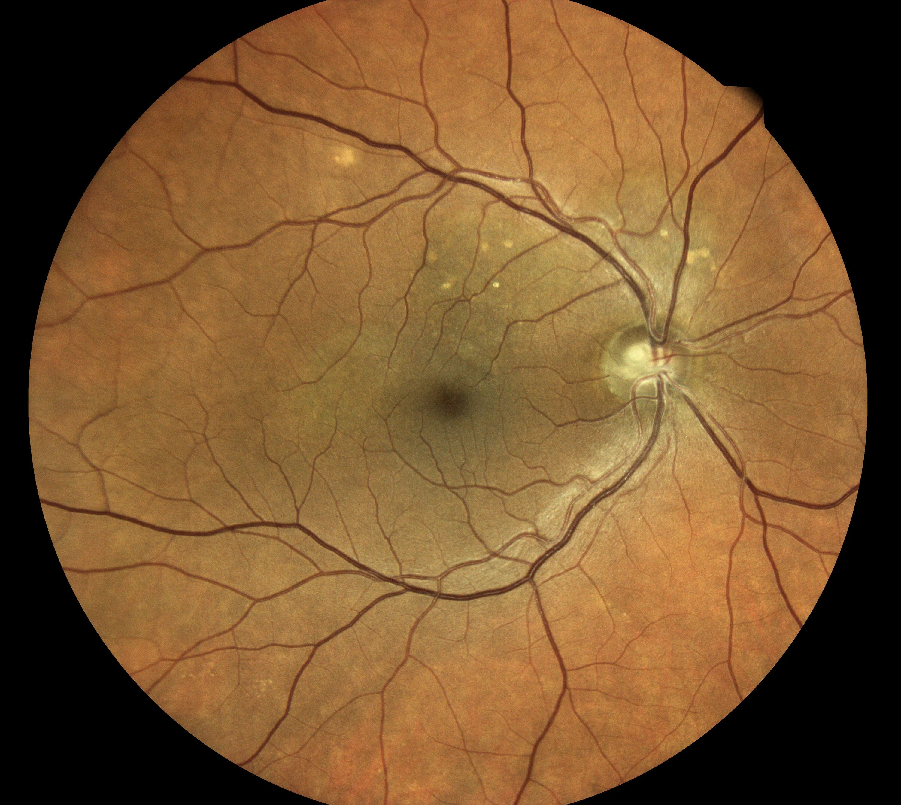
Макула глаза как лечить