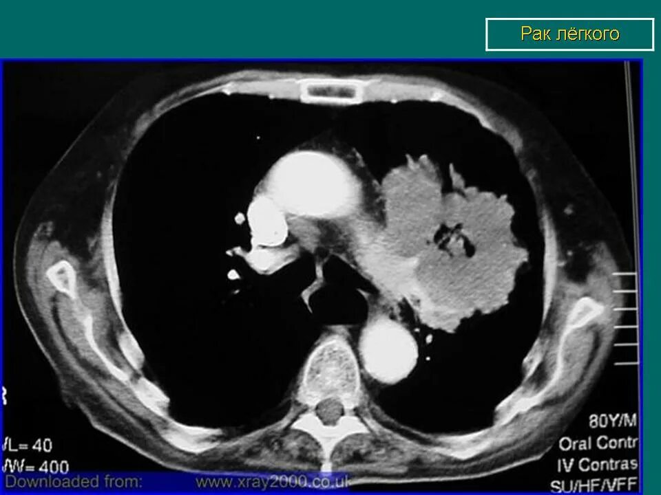
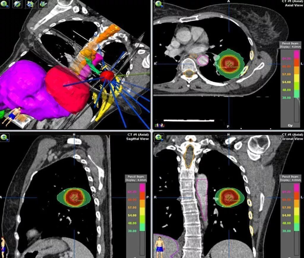
Лучевая при раке легких