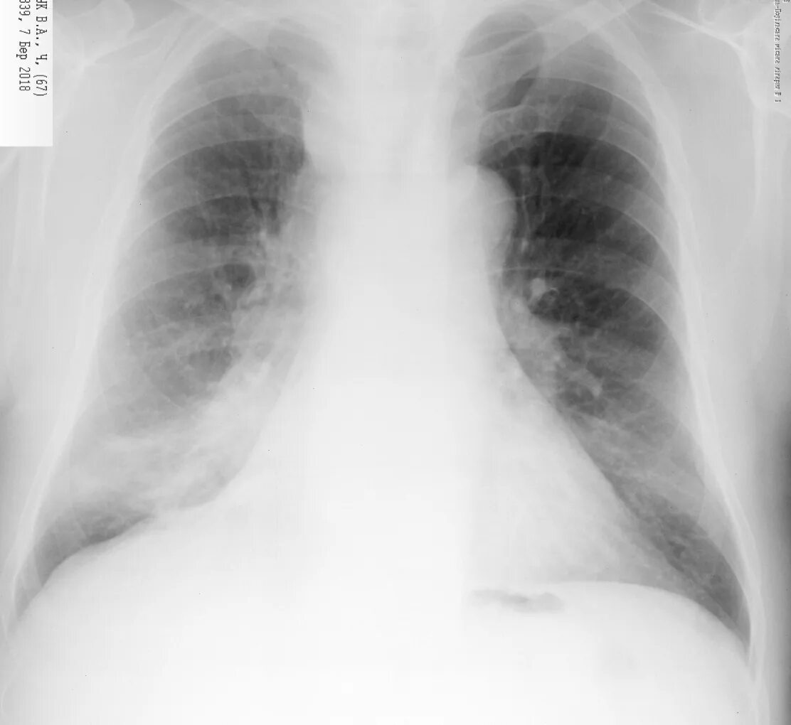
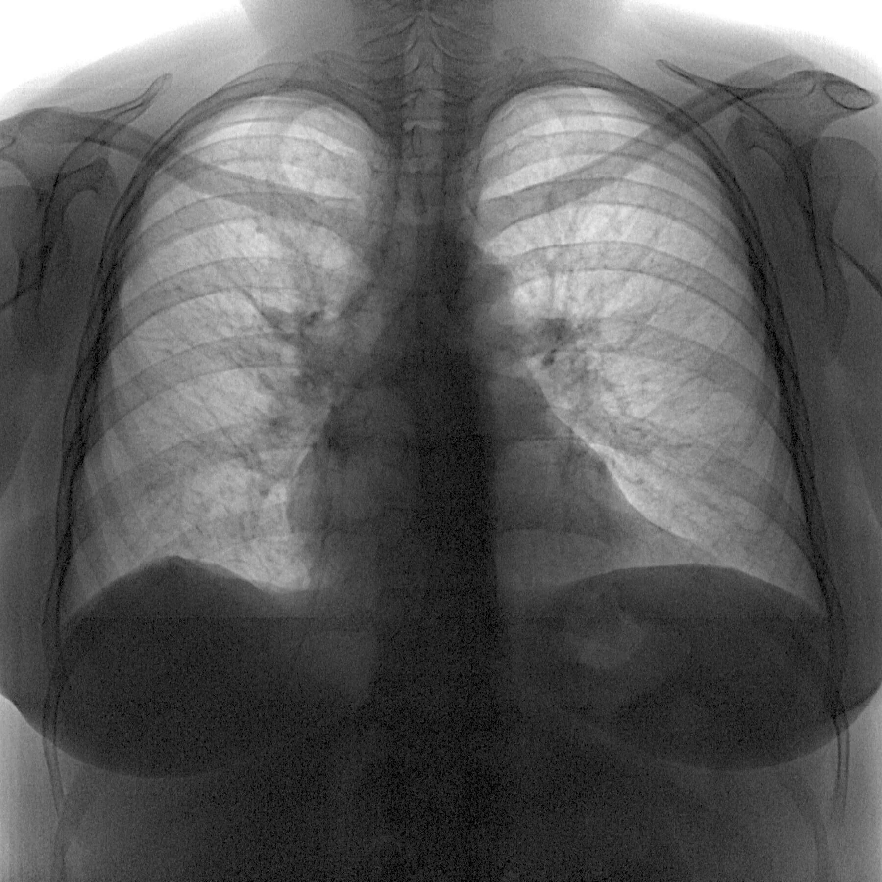
Локальный пневмосклероз легких