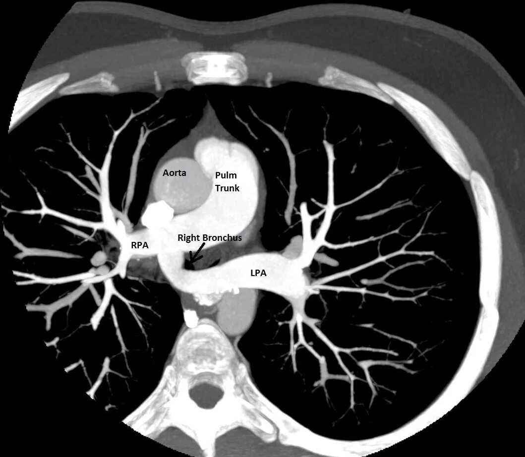
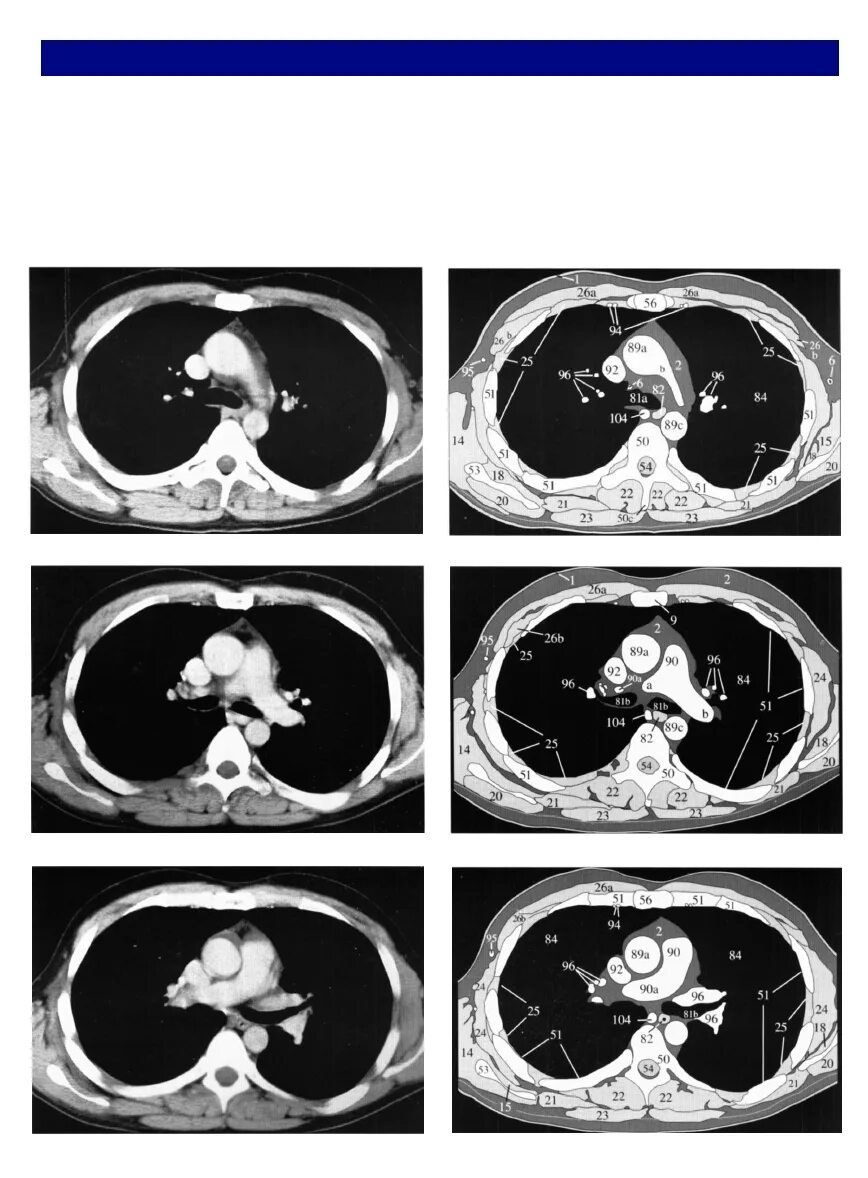
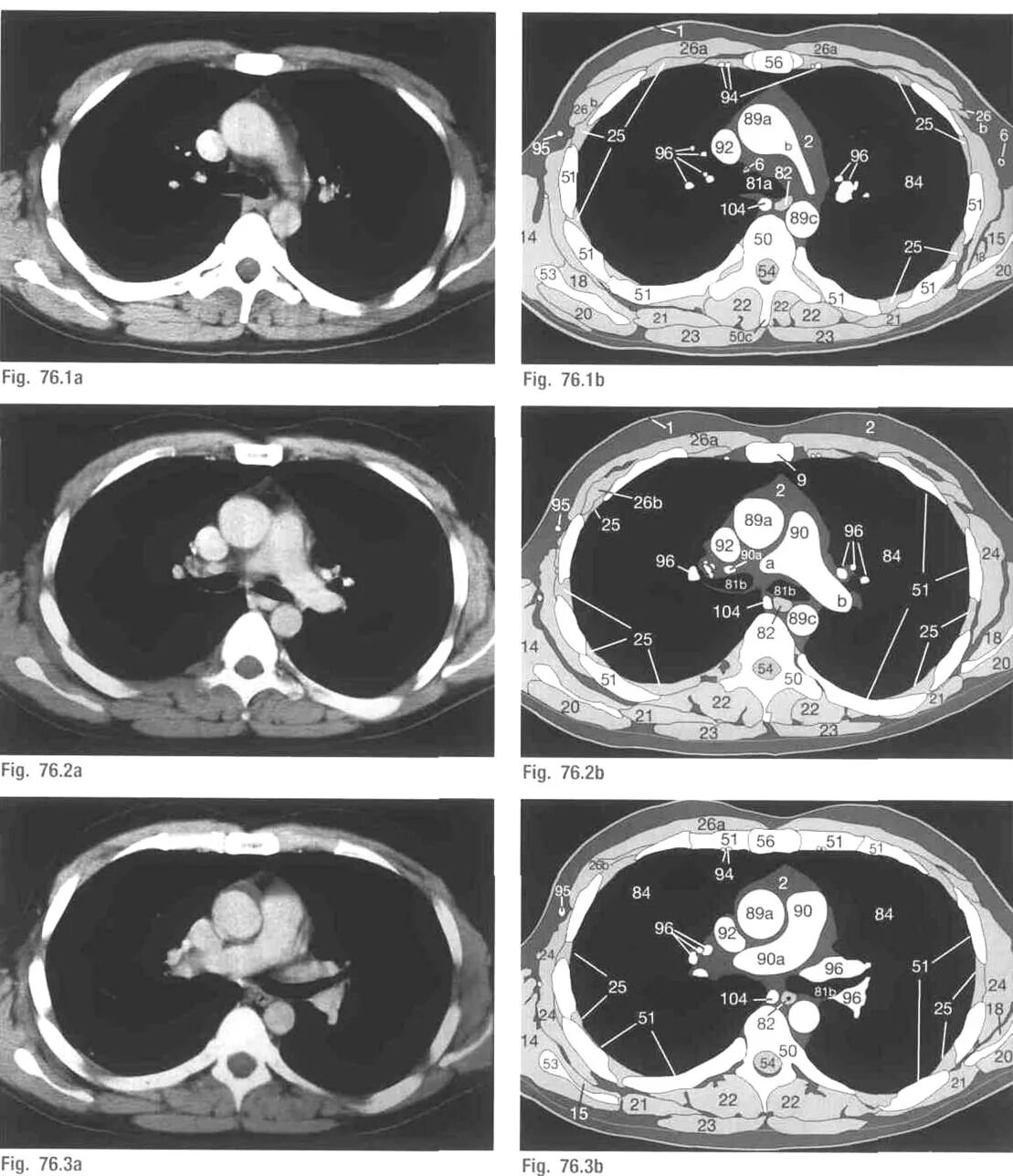
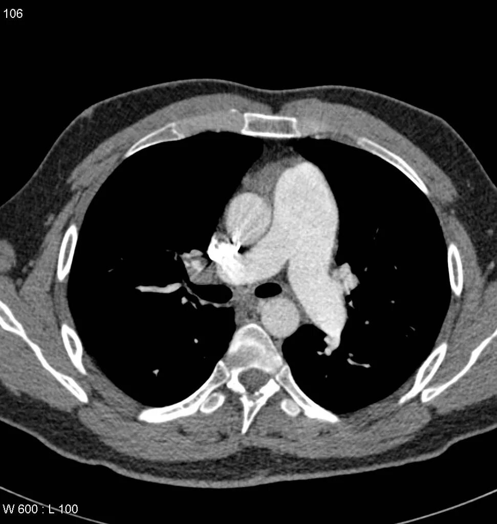
Легочный ствол на кт