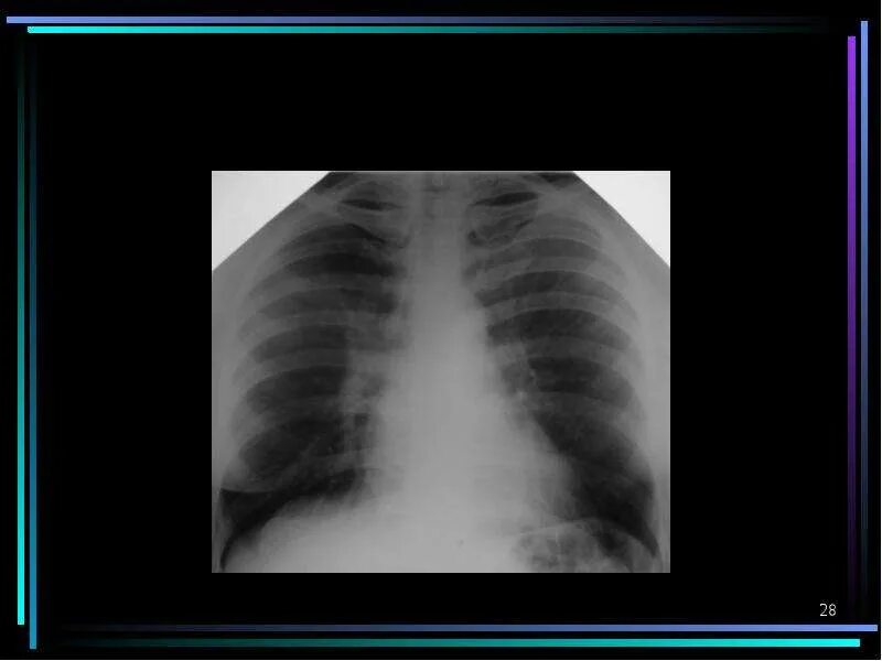
Легочные поля без очаговых и инфильтративных