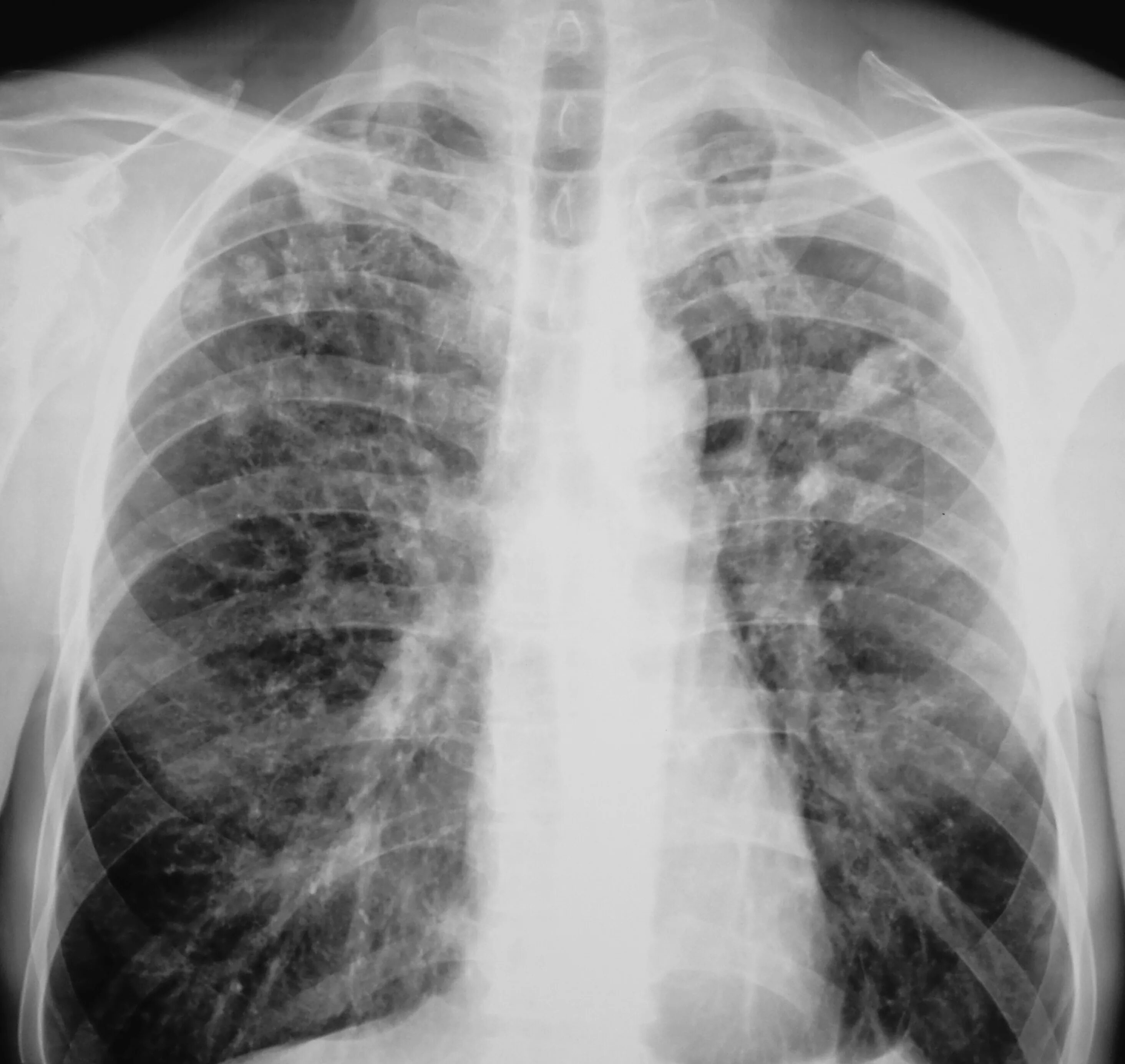
Лечится ли туберкулез у взрослых