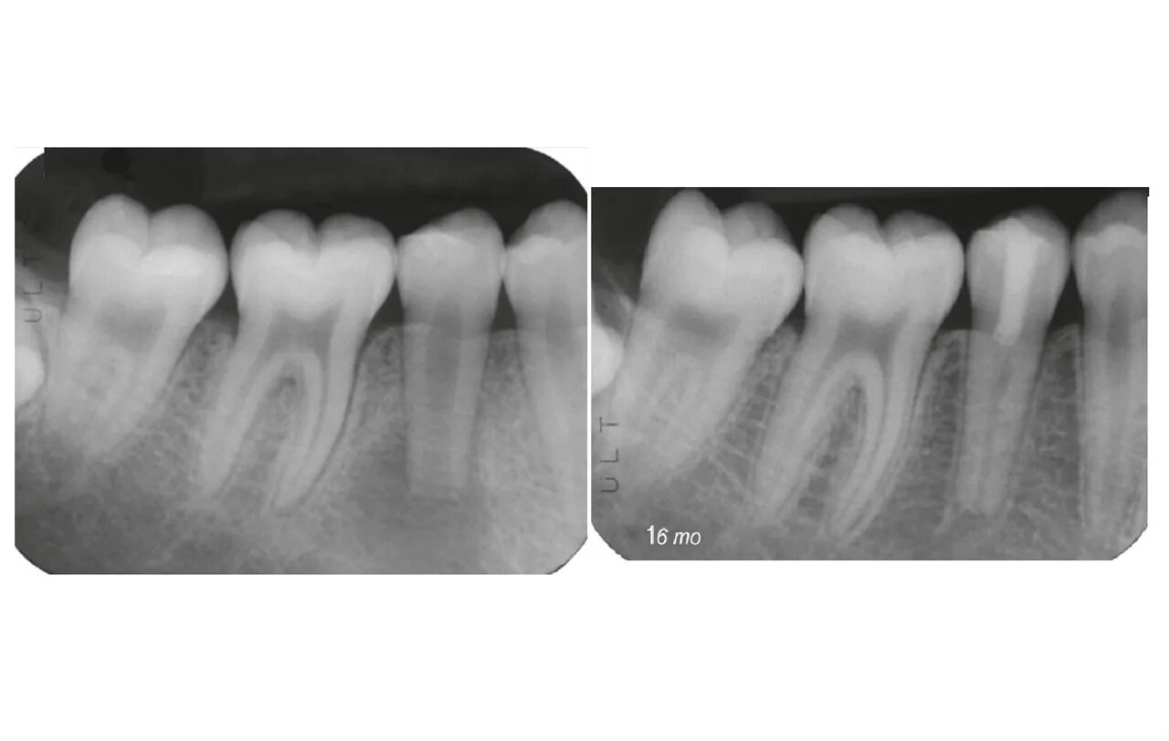
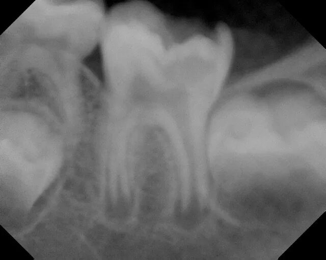
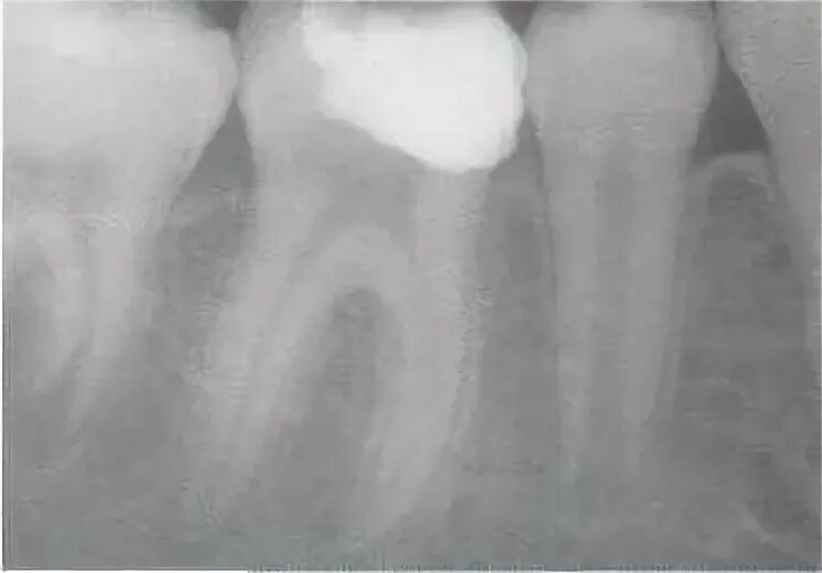
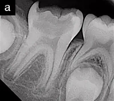
Лечение пульпита с несформированными