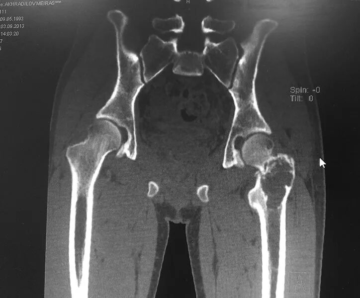
Кт суставов что показывает