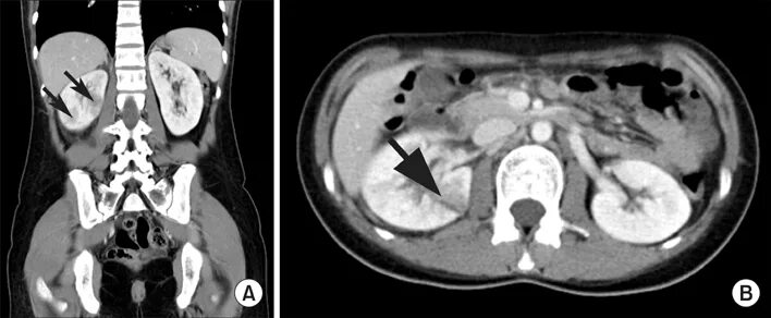
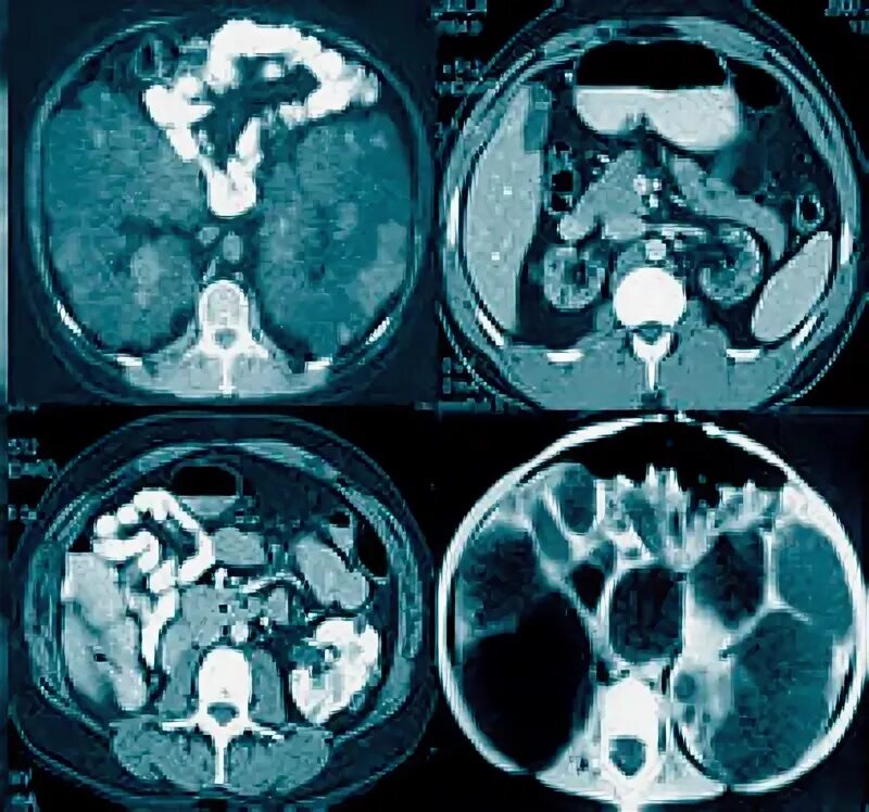
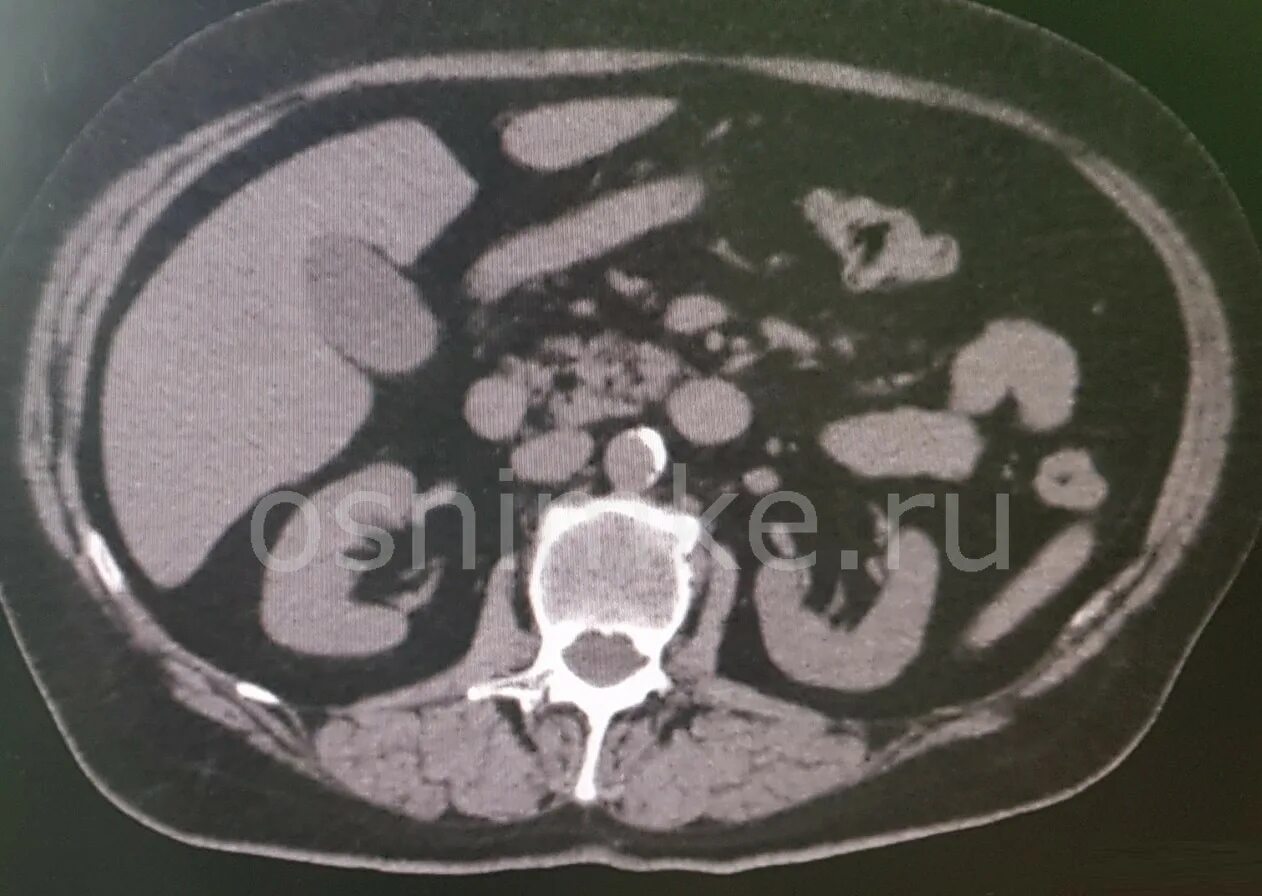
Кт почек с контрастированием как проводится